Хориоидпапилома

Оглавление

  1. Дорога к бессмертию
  2. Бессмертие и религия
  3. Философия бессмертия
  4. Бессмертие и наука
  5. История анабиоза
  6. Смерть
  7. Кора головного мозга
  8. Бессмертие и анабиоз
  9. Анабиоз, медицина и биология
  10. Анабиоз и экономика
  11. Анабиоз и закон
  12. Анабиоз в Антарктиде
  13. Техническое обеспечение анабиоза
  14. Бессмертие и вера
  15. Библиотека Ordo Deus
  16. Контактная страница Ordo Deus

Хориоидпапилома

Хориоидпапилома [chorioidpapilloma; латынь (plexus) chorioideus сосудистое сплетение + папиллома; синонимы: папиллома сосудистого сплетения, плексус-папиллома, хориоидная папиллома] — доброкачественная нейроэктодермальная опухоль, исходящая из эпителия сосудистых сплетений желудочков головного мозга.

Хориоидиапиллома составляет, по данным различных исследователей, 0,3—0,6% всех внутричерепных опухолей. У детей хориоидиапиллома встречается чаще, чем у взрослых (1,1 —1,3% всех опухолей головного мозга и 1,5—1,6% всех нейроэктодермальных опухолей). Хориоидпапилома является наиболее частой внутричерепной опухолью у новорожденных и детей первого года жизни, чаще наблюдается у мальчиков. Крайне редко встречается злокачественный вариант хориоидпапилломы — хориоидкарцинома (смотри полный свод знаний).

Хориоидиапиллома растёт в полости желудочков головного мозга (смотри полный свод знаний), очень редко располагается в мостомозжечковом углу, развиваясь из бокового выворота сосудистого сплетения четвёртого желудочка, или в большой цистерне (мозжечково-мозговая цистерна. У детей хориоидпапиллома локализуется преимущественно в боковых желудочках мозга, у взрослых — в полости четвёртого желудочка.



Информация об Ordo Deus Перейти в оглавление сайта

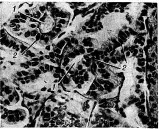
Рис
Микропрепарат хориоидпапилломы. Опухоль состоит из ворсинок (1) (на рисунке в поперечном сечении), покрытых цилиндрическим эпителием (2).



Макроскопически хориоидпапиллома представляет собой округлый узел с мелкозернистой или ворсинчатой поверхностью. В редких случаях при наличии капсулы поверхность узла бывает гладкой. На разрезе ткань опухоли серо-розовая, мелкозернистая, несколько плотнее ткани мозга. Иногда содержит гладкостенные кисты с серозным, слизеподобным или кальцифицированным содержимым.



Микроскопически опухоль представлена разной величины и формы ворсинками, покрытыми цилиндрическим эпителием, сходным с эпителием нормального сосудистого сплетения (смотри рисунок). Изредка отмечается многослойное расположение опухолевых клеток. Строма ворсинок состоит из рыхлой соединительной ткани, окружающей тонкостенные сосуды. В некоторых ворсинках может обнаруживаться плотная соединительная ткань со значительным числом тонко и толстостенных, иногда спавшихся сосудов. В строме ворсинок возможны отложения солей кальция, гиалиноз, отёк, фиброз и другие

Хориоидиапиллома растёт медленно в виде довольно чётко отграниченного узла, заполняя просвет желудочка, иногда спаиваясь с его стенками, но не прорастая их. Из полости четвёртого желудочка через отверстие Мажанди (срединная апертура четвёртого желудочка опухоль может прорастать в мозжечково-мозговую цистерну, а через отверстие Лушки (боковая апертура четвёртого желудочка — в боковую цистерну варолиева моста, срастаясь с корешками черепно-мозговых нервов. В некоторых случаях отрыв отдельных ворсинок ведёт к развитию имплантационных метастазов на стенках желудочков мозга или в субарахноидальном пространстве. Симптоматика зависит от локализации хориоидпапилломы и проявляется общемозговыми симптомами, связанными с окклюзией путей оттока цереброспинальной жидкости, ведущей к возникновению закрытой гидроцефалии (смотри полный свод знаний). При вовлечении в процесс четвёртого желудочка мозга иногда появляются симптомы раздражения его дна.

Диагностика основывается на клинические, данных и результатах дополнительных методов исследования. Решающее значение имеют вентрикулография (смотри полный свод знаний), церебральная ангиография (смотри полный свод знаний), компьютерная томография (смотри полный свод знаний: Томография компьютерная), гамма-энцефалография (смотри полный свод знаний: Энцефалография) и вентрикулоскопия (смотри полный свод знаний).

Лечение оперативное. В случае полного удаления хориоидпапилломы и отсутствия имплантационных метастазов прогноз благоприятный.

Смотри полный свод знаний: Сосудистые сплетения, патология.

Касумова С.Ю.

⇐ Перейти на главную страницу сайта

⇑ Вернуться в начало страницы ⇑

Библиотека Ordo Deus ⇒

⇐ Хориоидкарцинома

⇓ Полный свод знаний. Том первый А. ⇓

Хориоменингит лимфоцитарный ⇒

Все статьи в полном изложении, Вы можете найти в большой медицинской энциклопедии — Главный редактор: академик АН СССР (РАН) и АМН СССР (РАМН) Б.В. Петровский. — Москва издательство «Советская энциклопедия» 1989г.

Внимание! Вы находитесь в библиотеке «Ordo Deus». Все книги в электронном варианте, содержащиеся в библиотеке «Ordo Deus», принадлежат их законным владельцам (авторам, переводчикам, издательствам). Все книги и статьи взяты из открытых источников и размещаются здесь только для чтения.

Вся информация на сайте Ordo Deus находится в свободном доступе. Ordo Deus не предоставляет информацию на платной основе.

Все авторские права сохраняются за правообладателями. Если Вы являетесь автором данного документа и хотите дополнить его или изменить, уточнить реквизиты автора, опубликовать другие документы или возможно вы не желаете, чтобы какой-то из ваших материалов находился в библиотеке, пожалуйста, свяжитесь с нами по e-mail:
info @ ordodeus. ru
Формы для прямой связи с нами находятся в нижней части страниц: контакты и устав «Ordo Deus», для перехода на эти страницы воспользуйтесь кнопкой контакты вверху страницы или ссылкой в оглавлении сайта.

Вас категорически не устраивает перспектива безвозвратно исчезнуть из этого мира? Вы не желаете закончить свой жизненный путь в виде омерзительной гниющей органической массы пожираемой копошащимися в ней могильными червями? Вы желаете вернувшись в молодость прожить ещё одну жизнь? Начать всё заново? Исправить совершённые ошибки? Осуществить несбывшиеся мечты? Перейдите по ссылке: «главная страница».

© Ordo Deus, 2010. При копировании ссылка на сайт http://www.ordo-deus.ru обязательна.