Грипп

Оглавление

  1. Дорога к бессмертию
  2. Бессмертие и религия
  3. Философия бессмертия
  4. Бессмертие и наука
  5. История анабиоза
  6. Смерть
  7. Кора головного мозга
  8. Бессмертие и анабиоз
  9. Анабиоз, медицина и биология
  10. Анабиоз и экономика
  11. Анабиоз и закон
  12. Анабиоз в Антарктиде
  13. Техническое обеспечение анабиоза
  14. Бессмертие и вера
  15. Библиотека Ordo Deus
  16. Контактная страница Ordo Deus

Грипп

Грипп (французский grippe; синонимы инфлюэнца) — вирусная болезнь, характеризующаяся острым началом, непродолжительным течением с явлениями общей интоксикации, поражением слизистой оболочки дыхательных путей.

Оглавление

История

Статистика

Этиология

Эпидемиология

Патогенез

Патологическая анатомия

Иммунитет

Клиническая картина

Диагноз

Лечение

Прогноз

Профилактика

Грипп у детей

История

Заболевания Грипп были известны в древние времена. Ещё Гиппократ описал заболевание, главными симптомами которого были упорный кашель, воспаление зева, слабость, лихорадка, скоропреходящее воспаление глаз. Имеются сведения о 126 эпидемиях и пандемиях Грипп за восемь веков (12—19). Особенно большими были пандемии Грипп в 1889—1890 и 1918—1920 годы. Обе пандемии охватили все страны мира; в 1918—1920 годы, по неполным данным, погибло свыше 20 миллионов человек. После пандемии 1918—1920 годы эпидемии Грипп наблюдались в среднем каждые 2—4 года, но они никогда не достигали такой интенсивности как по заболеваемости, так и по смертности населения. Лишь в пандемии 1957—1959 годы и 1968—1969 годы заболеваемость была весьма высокой во всех странах.

В России первые описания клиники Грипп были сделаны в Москве и Петербурге в эпидемию 1729—1730 годы, когда Медицинская канцелярия издала «Предупреждение о болезнях, происходящих от заражённого воздуха». В этом уникальном документе излагаются клиника, лечение Грипп и его профилактика. Однако обилие описывающихся клинический, форм свидетельствует о том, что Грипп в то время, несомненно, не выделялся из числа других острых респираторных болезней.

Долгое время возбудителем Грипп считали палочку, выделенную Р. Пфейффером в 1892 год. Подлинная история изучения Грипп началась с установления Р. Шоупом в 1931 год вирусной этиологии инфлюэнцы свиней и открытия в 1933 год Смитом (W. Smith) с соавторами вируса Грипп человека. В СССР вирус Грипп впервые выделен А. А. Смородинцевым с сотрудники в 1936 год. Им же впервые предложен метод специфической профилактики (1937) и лечения Грипп с помощью противогриппозной сыворотки (1938).

Статистика

Грипп в общей заболеваемости инфекционными болезнями занимает значительное место. Под диагнозом Грипп нередко регистрируются ангины, ринит, фарингит, трахеобронхит и так далее; поэтому при статистическом анализе, основанном на учёте только клинически диагностируемых заболеваний, используются суммарные данные о заболеваемости различными острыми респираторными заболеваниями (ОРЗ) и гриппом (таблица).

Заболеваемость Грипп и ОРЗ в СССР превышает суммарную заболеваемость всеми остальными инфекционными болезнями. В отдельные годы Грипп и ОРЗ составляли более 80% всей инфекционной патологии, более 60% заболеваний детей.

Фактическая заболеваемость Грипп несколько превышает регистрируемую по обращаемости. Во время эпидемий она особенно велика в дошкольных детских учреждениях и на предприятиях. Наиболее высокие показатели заболеваемости — на крупных предприятиях, характер производства которых связан с интенсивными контактами работающих. Заболеваемость Грипп сельского населения примерно вдвое ниже, чем городского. Мужчины и женщины болеют с одинаковой частотой. У значительного числа больных отмечаются осложнения со стороны ЛOP-органов и лёгких (пневмонии). В 0,3% случаев Грипп приводит к развитию поражений нервной системы.



Информация об Ordo Deus Перейти в оглавление сайта



Летальность от Грипп, достигнув в пандемию 1918—1920 годы высоких показателей, непрерывно уменьшалась. Повышение летальности от Грипп отмечается обычно в период эпидемий, вызываемых новыми антигенными вариантами вируса гриппа типа А.

Развитая система профилактических, противоэпид. и лечебный мер при Грипп в нашей стране позволила стабилизировать смертность от этой болезни на низких показателях.

Летальность от Грипп относительно невелика и наблюдается главным образом среди детей до 1 года и пожилых людей.

Ущерб здоровью населения и экономике от эпидемий Грипп чрезвычайно велик, что выдвигает проблему борьбы с Грипп в качестве одной из первоочередных задач здравоохранения.

.

Этиология

Возбудители Грипп — пневмотропные РНК-содержащие вирусы трёх антигенно обособленных серологические типов А, В и С — относятся к семейство Orthomyxoviridae (смотри полный свод знаний Ортомиксовирусы).

Возбудители Грипп адсорбируются на клетках различного происхождения и легко десорбируются с их поверхности; обладают ферментативной (нейраминидаза, РНК-полимераза) и гемагглютинирующей активностью. Им свойственна множественная реактивация (смотри полный свод знаний Вирусы), генетические рекомбинации (смотри полный свод знаний Рекомбинация) и образование неполного вируса (частицы, содержащие дефектный геном и обладающие пониженной инфекционностью при наличии высокой гемагглютинирующей активности). Вирусы Грипп имеют округлую или овальную форму с диаметром частиц 80— 100 нанометров Для свежевыделенных вирусов характерны плеоморфизм, образование нитевидных (длина до 1000 нанометров при диаметром 80—100 нанометров) и крупных (диаметром до 250 нанометров) округлых форм.

Вирионы имеют плотную оболочку, покрыты выступами высотой в 10— 12 нанометров Сердцевина вируса (нуклеокапсид) состоит из спирального тяжа рибонуклеопротеида (РНП) диаметром 9 нанометров. Хим. состав вирусов Грипп: РНК— 1,0%, белок — 70%, липиды — до 24%, углеводы — до 5%.

РНК вирусов Грипп однонитчатая, с преобладанием урацила. Геном вируса (смотри полный свод знаний Геном) фрагментирован и представляет собой совокупность нескольких молекул РНК разной длины, общим молекулярный весом 4—5 × 106 дальтон.

Белки вирусов составлены из семи видов полипептидов разной величины. Четыре из них не содержат углеводов и находятся в центральной части вириона. Два полипептида имеют молекулярный вес 81 000—94 000 дальтон, функция их не ясна; третий полипептид связан с РНК, молекулярный вес 53 000—65 000 дальтон; четвёртый полипептид — молекулярный вес 25 000— 26 000 дальтон — составляет мембрану, покрывающую нуклеокапсид.

Остальные три полипептида содержат углеводные группы и являются гликопротеидами с молекулярный весом 55 000—58 000, 46 000—50 000 и 25 000—29 000 дальтон; они составляют наружный слой оболочки и функционально связаны с гемагглютинирующей и нейраминидазной активностью. Гемагглютинин — гликопротеид сложной структуры, состоит из двух-трёх димеров, каждый из которых в свою очередь включает тяжёлую и лёгкую цепь полипептидов с молекулярный весом 46 000—50 000 и 25 000—29 000 дальтон соответственно. Нейраминидаза является тетрамером, состоящим из четырёх полипептидов; в целом функциональный комплекс имеет молекулярный вес 220 000—250 000 дальтон. Различие в молекулярный весе полипептидов зависит от штамма типа вируса и метода выделения. Гемагглютинин и нейраминидаза обособлены структурно, антигенно и функционально. Изменение их в естественных условиях идет независимо. Каждый из них может быть выделен в очищенном виде. В соответствии с номенклатурой Комитета экспертов ВОЗ (1971) вирусы Грипп человека имеют четыре антигенно обособленных подтипа гемагглютинина (Н0, H1, Н2 и Н3) и два подтипа нейраминидазы (N1 и N2).

Фермент полимераза (транскриптаза) вирусов Грипп катализирует РНК-зависимый процесс включения рибонуклеотидов в дочернюю вирусную РНК (механизм синтеза вирусных РНК — смотри полный свод знаний Вирусы).

Липиды входят в состав промежуточного слоя вириона. Как и углеводы, они структурно связаны с вирусными белками, их синтез и специфичность зависят от генома клетки. Внутренние белки обладают типовой специфичностью и иммунологически обозначаются как S-антиген (англ. soluble растворимый). Наружные гликопротеиды обладают штаммовой специфичностью и иммунологически обозначаются как V-антиген (английский viral вирусный).

Синтез компонентов вируса осуществляется внутри инфицированной клетки, «созревание» вируса происходит на мембране клеток, а освобождение вируса идёт путём почкования на трансформированных участках клеточной мембраны.

Установлено, что геном вируса Грипп представляет собой сложную композицию фрагментов РНК, каждый из которых тесно соединён с белком; ассоциированные с белком фрагменты соединены между собой лабильными мостиками. Фрагментарность генома вирусов Грипп и его раздельный синтез в процессе репродукции обусловливают характерную для вирусов Грипп гетерогенность популяции, образование неполных вирусов с дефектным геномом, а также составляют основу генетических рекомбинаций.

Международная номенклатура вирусов гриппа А предусматривает стандартное обозначение штамма, включающее следующие данные: тип вируса, вид хозяина, место выделения, собственное обозначение штамма или его номер, последние две цифры года выделения, формулу оболочки, то есть сокращённое обозначение антигенного подтипа гемагглютинина и нейраминидазы. При обозначении штаммов вирусов Грипп человека вид хозяина опускается; при обозначении штаммов, изолированных от животных, обозначение вида естественного хозяина, от которого выделен данный штамм, обязательно. При обозначении антигенной формулы субъединиц оболочки подтипы гемагглютинина и нейраминидазы, характерные для вирусов Грипп Животных, кроме номера подтипа, обозначаются начальными буквами вида хозяина, у которого впервые был обнаружен данный образец антигена: лошадь — eq (equine), свинья — sw (swine), птицы — av (avian) и другие

Например, штамм А/Гонконг — 1/68 (H3N2) — это вирус Грипп, выделенный от человека в Гонконге в 1968 год, имеет подтип 3 гемагглютинина и подтип 2 нейраминидазы человеческого образца; штамм А/лошадь/ Майами — 2/63 (Heq2 Neq2) — это вирус Грипп типа А, штамм № 2, выделенный от лошади в г. Майами в 1963 г., имеет гемагглютинин подтипа 2 лошадиного образца и нейраминидазу подтипа 2 лошадиного образца.

Возбудителями пандемий и крупных эпидемий Грипп являются антигенные варианты вируса типа А, разделение которого на серологические подтипы А (H0N1), A (H2N2) и A (H3N2) отражает основные этапы его эволюции. Вирус, впервые выделенный в 1933 год Смитом, К. Эндрюсом и Лейдло (P. Laidlaw), позже был отнесён к подтипу A (H0N1). В 1947 год появились вирусы А с новым гемагглютинином, но с прежним подтипом нейраминидазы A (H1N1), в 1957 год были выделены новые вирусы Грипп— подтип А/Сингапур — 1/57 (Н2 N2) и в 1968 год — подтип А/Гонконг — 1/68 (НЗ N2).

Штаммы вируса гриппа типа В впервые были выделены в 1940 год независимо друг от друга Франсисом (Т. Francis) в Америке и Меджиллом (Т. Magill) в Англии. Эпидемии гриппа типа В возникают раз в 3— 4 года, распространяются медленнее, характеризуются затяжным течением и ограничиваются территориями отдельных городов. Смена антигенных вариантов нового подтипа происходит с интервалом в 10—20 лет, отличия между ними выражены значительно менее резко, чем у вируса типа А. Появление нового антигенного варианта вируса типа В сопровождается постепенным исчезновением ранее циркулировавших вирусов, в связи с чем в одной и той же местности могут быть выделены варианты вируса типа В, отличающиеся по антигенным свойствам.

Вирус гриппа типа С отличается от двух предыдущих типов большим постоянством антигенной структуры, почти не изменившейся после его выделения в 1947 год Тейлором (R. Taylor). Вирусы типа С поражают главным образом детей; вызванные им вспышки строго ограничены по распространению и характеризуются легкостью клинический, течения.

Единой классификации вируса гриппа типа В и С не создано, подтипы гемагглютинина или нейраминидазы в названии штаммов не включаются.

Экспериментальная гриппозная инфекция воспроизводится у белых мышей, африканских хорьков, белых крыс, реже у хомяков, морских свинок, обезьян. В лабораторных условиях наиболее простой и удобной моделью для культивирования вируса Грипп являются 10—12-дневные развивающиеся куриные эмбрионы. Описано размножение некоторых штаммов на первично трипсинизированных культурах почечной ткани эмбрионов человека, кур, коров, молодых обезьян макак-резусов и зелёных мартышек. Наличие вируса Грипп в заражённых куриных эмбрионах выявляют по РГА, в тканевых культурах — по РГА и реакции гемадсорбции, основанной на прилипании эритроцитов кур или морских свинок к клеткам заражённого монослоя (смотри полный свод знаний Гемагглютинация, Гемадсорбция), а также по цитопатическому действию.

Вирусы Грипп чувствительны к внешним воздействиям. Они теряют инфекционность (in vitro) после прогревания в течение 20—30 минут при t° 60° или 2—3 дней при t° 37°, после УФ-облучения, под действием формалина, эфира, ультразвука. Вирус Грипп сохраняется в течение длительного времени при t° — 25° — 70°. Вирусы Грипп быстро погибают в физиологический растворе, но сохраняются в присутствии 10% раствора снятого молока, 6% раствора пептона, 20% раствора яичного белка или нормальной инактивированной сыворотки.

В подавляющем большинстве вирусы Грипп характеризуются выраженной пластичностью антигенных и биологических свойств. Наблюдаемая в естественных условиях изменчивость поверхностных антигенов резко отличает вирус гриппа типа А от других вирусов. Она протекает в виде двух форм: а) антигенный «дрейф» (частичное смещение и обновление антигенных детерминант — активных групп антигенов) гемагглютинина или нейраминидазы в пределах одного подтипа; б) «взрывная» форма изменчивости, обозначенная как антигенный «шифт» (полное замещение фрагмента генома, кодирующего только гемагглютинин или гемагглютинин и нейраминидазу), проявляется в появлении нового подтипа среди вирусов гриппа типа А. В основе антигенного «дрейфа» лежит образование мутантов и их последующая селекция под влиянием иммунологический факторов населения. Механизм возникновения пандемических штаммов («взрывная» форма изменчивости) недостаточно ясен. По этому вопросу существует ряд гипотез. Одна из них предполагает возможность формирования пандемических штаммов вирусов Грипп в недрах ранее циркулировавших штаммов под селекционирующим влиянием иммунологический факторов защиты; вторая — возникновение естественных мутантов; третья — «выплеск» в человеческое общество вирусов Грипп от животных; четвертая — наиболее популярная — основывается на возможности генетической рекомбинации между человеческим вирусом Грипп и вирусами Грипп птиц и животных.

.

Эпидемиология

Грипп встречается практически повсеместно. Как ни одно инфекционное заболевание, Грипп способен к эпидемическому, а нередко и пандемическому распространению в относительно короткие сроки; он поражает десятки и сотни миллионов людей на всех континентах земного шара. Это определяется следующими факторами: большим количеством лёгких форм болезни и коротким инкубационным периодом, что приводит к быстрому нарастанию числа больных (новых источников инфекции) среди населения; воздушным путём передачи инфекции, обеспечивающим одновременное заражение многих лиц от одного больного; всеобщей восприимчивостью людей к гриппу; появлением в каждой очередной эпидемии (пандемии) нового антигенного варианта возбудителя Грипп, к которому население не имеет иммунитета; непродолжительностью постинфекционного иммунитета, что влечёт за собой возможность повторного заболевания. Так, в СССР с 1957 по 1966 год ежегодно переболевало от 9 тысяч до 21 тысяч на 100 000 населения, а всего за эти 10 лет переболело около 145 тысяч на 100000 населения, то есть в среднем около 1,5 заболевания на каждого жителя страны (таблица). При этом нельзя не учитывать, что при полноценном общем учёте инфекционных больных в СССР известное число больных лёгкими формами Грипп, несомненно, не обращается за медпомощью и, следовательно, не попадает в число учитываемых.

Источником возбудителей инфекции при Грипп является только больной человек с клинически выраженной или стёртой формой болезни. Уже в инкубационном периоде больной может выделять вирус Грипп в окружающую среду через верхние дыхательные пути (при кашле, чиханье, разговоре). Начиная с 7-го дня болезни выделить вирус от больного, как правило, не удаётся. Описаны редкие случаи выделения вируса типа А на 15—40-й день у переболевших. Однако возможность хронический носительства вируса Грипп не доказана.

Пути распространения инфекции. Из повреждённых клеток ворсинчатого эпителия дыхательных путей вирус выводится в воздух с каплями слюны, слизи, мокроты при дыхании, разговоре, крике, плаче, кашле, чиханье. Сохранение вируса Грипп в воздушной среде зависит от степени дисперсности аэрозоля, содержащего вирусные частицы, воздействия на него света, влаги, нагревания и времени его оседания. Капли секрета дыхательных путей, выделяемые больным в воздух и содержащие вирусные частицы, высыхая за доли секунды, образуют капельные ядра, способные длительное время удерживаться в воздухе в виде аэрозоля. Вирус Грипп выживает в воздушной среде до нескольких часов. Вирус гриппа типа А более устойчив, чем вирус типа В. Он сохраняется в высохших и осевших каплях аэрозоля: на постельном белье — до 2 недель, в комнатной пыли — до 5 недель. В связи с этим при гриппе типа А возникает возможность передачи вируса через вторичный (пылевой) аэрозоль. Однако ведущим в передаче вируса Грипп является воздушно-капельный путь. Возможно также заражение и через предметы обихода, инфицированные выделениями больного (игрушки, соски, посуду, полотенца и другие).

По данным В. А. Батенина (1955), пандемический грипп 1889—1890 годы унёс наибольшие жертвы среди стариков. В пандемию 1918—1920 годы наиболее поражён был цветущий возраст (15—35 лет). Обычно же Грипп чаще болеют дети, среди которых наиболее страдают дети младшего возраста: от 6 месяцев до 3 лет. Дети первого полугодия жизни обладают пассивным иммунитетом, полученным от матери.

Заболеваемость Грипп носит явно выраженный сезонный характер. В нашей стране эпидемии Грипп возникают, как правило, в зимний период, но регистрируются и ранней весной или поздней осенью. Эпидемии Грипп, начавшиеся весной, с наступлением лета затихают, хотя заболеваемость Грипп может значительно превышать средний для летнего периода уровень, а осенью рост заболеваний принимает стабильный характер, как это было, например, в 1957 год. Высказывались предположения о влиянии метеорологические факторов на заболеваемость Грипп, но убедительных данных в этом отношении не получено. С другой стороны, несомненно, огромную роль играют такие факторы, как плотность и передвижение населения, скученность людей в помещении и недостаточная его вентиляция, растущие транспортные связи как внутри стран, так и в мировом масштабе. Так, напр., если Грипп, зарегистрированный впервые в Австралии в 1946 год, достиг СССР только спустя 3 года, то в 1968 год он распространился по всему земному шару всего за полгода.

Экология вирусов гриппа изучает взаимоотношение возбудителей Грипп со средой их обитания и последствия этого взаимодействия как для вируса, так и для естественных хозяев, в том числе человека. Особое внимание уделяется изучению происходящей в этих условиях эволюции вируса и её прогнозированию.

Необходимость применения экологические подходов к решению проблемы Грипп возникла в связи с новыми представлениями о том, что Грипп, возможно, следует рассматривать как зоонозную инфекцию. В естественных условиях вирус гриппа типа А поражает не только человека, но и ряд млекопитающих — свиней, лошадей, рогатый скот, собак, по-видимому, морских котиков, а также многочисленные виды домашних (куры, утки, индюки), диких (фазаны, перепелы, утки, крачки, гагары, чайки и так далее) и синантропных (вороны и другие) птиц. Штаммы вирусов гриппа типа А, циркулирующие среди разных видов хозяев, отличаются между собой не только биол. признаками, но также кардинально по антигенному и белковому составу гемагглютинина и нейраминидазы. У известных вирусов Грипп человека и животных выявлены 15 подтипов гемагглютинина и 9 подтипов нейраминидазы. Из 15 антигенных подтипов гемагглютинина 4 были обнаружены впервые в штаммах, выделенных от людей, и относятся к человеческому подтипу, 1 — к свиному подтипу, 2 — к лошадиному и 8 — к птичьим. Из 9 известных антигенных подтипов нейраминидаз 2 относятся к человеческим, 2 — к лошадиным, 5 — к птичьим образцам. Однако все 9 известных подтипов нейраминидаз обнаружены у вирусов Грипп птиц. При этом подтип нейраминидазы, обозначенный как человеческий, обнаружен у штамма, выделенного от кур в 1902 год, то есть за 31 год до обнаружения вируса Грипп человека.

Естественные хозяева вирусов гриппа типа А делятся на 5 групп: 1) человек, организм которого поражается только определёнными антигенными разновидностями вирусов гриппа А; 2) лошади, свиньи, куры, которые, помимо паразитирующих у них антигенных разновидностей вируса Грипп, инфицируются антигенными разновидностями вируса, поражающими человека; 3) рогатый скот, собаки, не имеющие своего вируса Грипп в естественных условиях, но поражаемые вирусами гриппа А человека; 4) дикие перелётные и синантропные птицы, у которых заболевание может быть обусловлено как антигенными разновидностями вируса Грипп, свойственными им, так и разновидностями, поражающими все другие виды; 5) лёгочные аскариды свиней, земляные черви, способные хранить вирус гриппа А долгое время в латентном состоянии и передавать его трансовариально.

Эпидемический процесс, свойственный гриппу типа А, имеет циклический характер. Огромное значение приобретает периодически происходящая замена ранее циркулировавших антигенных вариантов новыми. Появление новых подтипов вируса, способных преодолевать ранее сложившийся иммунитет, может приводить к возникновению эпидемий или пандемий Грипп, когда значительная часть восприимчивого населения переболевает, эпидемия затихает. В следующем эпид. сезоне (через 1,5 — года от появления варианта) обычно проходит вторая волна Грипп, во время которой в основном болеют люди, не затронутые первой волной, но возможны и повторные заболевания лиц, у которых не сформировался прочный иммунитет, особенно детей. В последующие годы внедрившийся вариант вызывает главным образом локальные вспышки, затем исчезает. Возникновение эпидемий (смотри полный свод знаний) связано с распространением вариантов, обладающих изменениями гемагглютинина или нейраминидазы в пределах антигенного «дрейфа». Таких вариантов в одном подтипе может быть несколько, одни получают более широкое, другие ограниченное распространение в тех или иных зонах земного шара. Новый пандемический цикл (смотри полный свод знаний Пандемия) начинается после появления следующего подтипа вируса, которое, по предварительным наблюдениям, происходит через 11 —18 лет.

Предполагают, что ранее циркулировавшие варианты вируса могут возвращаться через 60—80 лет. Подтверждения этого были получены на основе серо л. обследований престарелых людей, поскольку, согласно теории Франсиса (1960), первое в жизни человека заражение вирусом Грипп оставляет самый сильный иммуно л. след и антитела к этой разновидности сохраняются всю жизнь. Таким путём было установлено, что разновидности вируса, сходные с разновидностью А (Гонконг) 68, уже имели эпидемиологическом распространение в 1890 год, а разновидность A(HswlNl), известная как возбудитель гриппа свиней, была причиной пандемии испанского Грипп в 1918— 1920 годы. Изоляция штаммов, сходных с этим вирусом, от людей во время вспышки Грипп в США в 1976 год показывает принципиальную возможность возврата и этой разновидности вируса.

Эпизоотический процесс у домашних животных (млекопитающих и птиц) в значительной степени зависит от свойств штамма, плотности популяции и интенсивности межвидовых контактов. Наиболее патогенными для домашних птиц являются штаммы вируса с гемагглютинином первого птичьего подтипа, ранее обозначавшиеся как истинная чума птиц.

Циркуляция вирусов Грипп среди людей, а также в популяциях животных осуществляется посредством передачи инфекции от больной особи или носителя к здоровой. Помимо воздушно-капельного пути передачи возбудителей, у животных имеет место фекально-оральный путь передачи, а также передача возбудителей с участием промежуточного хозяина. Так, Грипп свиней передаётся прямым путём от одной особи к другой, а также через лёгочных аскарид, которые, заражаясь вирусом Грипп в организме больной свиньи, передают возбудителей трансовариально. Заражённые яйца аскарид выводятся во внешнюю среду, поглощаются земляными червями или остаются в почве. При этом находящийся в яйцах вирус Грипп сохраняет свою активность.

Длительное сохранение вируса Грипп в аскаридах и земляных червях приводит к возникновению эндемических очагов инфекции и способствует её переходу на другие популяции хозяев, например, на диких птиц.

Возбудители Грипп человека, в частности гонконгская разновидность вируса — тип А, могут в естественных условиях передаваться от человека к собакам, рогатому скоту, свиньям, курам, синантропным и перелётным птицам, а возможно, и другим видам животных. Инфекция, обусловленная вирусами Грипп человека, у кур, свиней, коров протекает доброкачественно, однако при наличии дополнительных факторов (охлаждения, авитаминоза, бактериальной и микоплазменной инфекции) наблюдаются тяжёлые формы с массовыми заболеваниями и гибелью. Чаще страдает молодняк. Поэтому во время эпидемий Грипп при проведении противоэпидемические и противоэпизоотических мероприятий в сельской местности необходимо особое внимание уделять предотвращению заноса Грипп к животным от обслуживающего их персонала.

Дикие птицы являются важным звеном в естественной циркуляции вирусов гриппа типа А среди животных и в их распространении между континентами. Нет доказательств прямого перехода с сохранением патогенности вирусов Грипп от животных на человека. Антигенные варианты, поражающие домашний скот, домашних или диких птиц, не вызывают эпидемий у человека.

Однако экспериментально доказана возможность гибридизации вирусов Грипп человека и животных, а также появление в естественных условиях эпидемически активных разновидностей, имеющих антигенную общность с вирусами Грипп птиц и лошадей по нейраминидазе или гемагглютинину. Это даёт основание считать, что обратное влияние эпизоотических процессов на эпидемические может осуществляться косвенно через процессы генетических рекомбинаций, стимулирующих естественную эволюцию и изменчивость вирусов Грипп человека, способствующих образованию пандемически опасных вирусов. В этом процессе вирусы Грипп млекопитающих и особенно птиц являются донорами дополнительной генетической информации. Эпизоотические процессы в популяциях разных видов естественных хозяев могут осуществляться независимо, но предполагается, что в природе у вируса гриппа типа А имеется общий круговорот, включающий многие виды живых существ.

.

Патогенез

Вирус Грипп, попадая в верхние дыхательные пути, размножается в эпителиальных клетках, вызывая их некроз и слущивание. Важная роль в развитии заболевания принадлежит интоксикации, вызываемой резорбцией токсических белков возбудителя и влиянием токсинов на стенки сосудов. При лёгких формах Грипп поражения ограничиваются верхними дыхательными путями, при более тяжёлых — процесс переходит на трахею, быстро распространяется до бронхов, вызывая дистрофические и некротические изменения, приобретая черты генерализованной инфекции.

В связи со слущиванием изменённых клеток эпителия слизистая оболочка дыхательных путей становится проницаемой для вируса, который в этих условиях проникает в ток крови вместе с продуктами распада поражённых клеток, а также разнообразными бактериями, интенсивно размножающимися в поражённых вирусом Грипп тканях дыхательных путей.

Вирус обнаруживается в крови и при отсутствии выделения его из носа, а также нередко выделяется из крови со 2-го по 14-й день болезни не только у лихорадящих, но и у больных с нормальной температурой. По данным Миерса (P. D. Meers, 1969), Даджена (J. A. Dudgeon, 1969) с соавторами, в ряду других факторов в патогенезе Грипп имеет значение и аллергический компонент, вызванный как самими белками возбудителя, так и комплексами антиген — антитело и антиген — повреждённая ткань больного (смотри полный свод знаний Аутоаллергия).



Информация об Ordo Deus Перейти в оглавление сайта

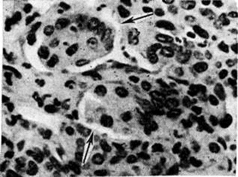
Рис. 1.
Микроскопическая картина эпителиальных клеток бронхов (грипп): стрелками указаны оксифильные включения в цитоплазме (×600).



.

Патологическая анатомия

Морфологически изменения при Грипп выражаются повреждениями органов дыхания и токсическим поражением других органов и систем. Выраженность этих изменений зависит от вирулентности возбудителя, состояния специфического и неспецифического иммунитета, а также от характера сопутствующих болезней и бактериальных осложнений.

Для местных изменений при Грипп характерны слизистая и вакуольная дистрофия эпителия, частичная гибель его на протяжении дыхательных путей с последующими реактивными изменениями.

Характерен серозный, катарально-гнойный, геморрагический и некротический ринит (смотри полный свод знаний), ларингит (смотри полный свод знаний) и трахеобронхит (смотри полный свод знаний Трахеит). В мазках-отпечатках со средней носовой раковины обнаруживается большое количество дистрофизированных клеток цилиндрического эпителия, в цитоплазме которых нередко обнаруживаются оксифильные включения. Наиболее резко поражаются подсвязочная область гортани, трахеи и крупные бронхи (рисунок 1), а также слизистая оболочка языка. Слизистая оболочка — огненно-красная, нередки точечные кровоизлияния и островки желтоватого цвета (очаги некрозов). В более тяжёлых случаях слизистая оболочка трахеи и крупных бронхов на всем протяжении серовато-жёлтого цвета, с небольшими участками кровоизлияний (цветной рисунок 2 и 3). Гистологически эпителий трахеи и бронхов принимает вид аркадообразных структур, возникающих за счёт отёка (смотри полный свод знаний), вакуолизации (смотри полный свод знаний) и отслойки поверхностных слоёв клеток, содержащих вирусный антиген. Часто наблюдается образование фуксинофильных цитоплазматических включений (рисунок 2) и развитие регенераторных (псевдометапластических) процессов. Клетки бронхиального эпителия под действием вируса Грипп теряют ворсинки, количество гранул в них резко уменьшается. Цитоплазматические включения представляют собой аутофагосомы, образующиеся в зоне парциального некроза цитоплазмы вследствие репродукции вируса Грипп (рисунок 3). Резкое полнокровие, отёк и круглоклеточная инфильтрация подэпителиальных слоёв сочетается с утолщением базальной мембраны и усилением секреции образующих слизь желёз. В других местах отмечается гибель эпителия, выраженное полнокровие и лейкоцитарная инфильтрация субэпителиального слоя бронхов и гнойный экссудат с колониями микробов в просвете дыхательных путей. Такого рода очаги гнойно-некротического трахеобронхита служат источником бактериальных поражений лёгочной ткани.



Информация об Ordo Deus Перейти в оглавление сайта

Рис. 1 —3. Срез головного мозга, язык, трахея и лёгкие (трахея и левое лёгкое в разрезе) больных, погибших от гриппа.
Рис. 1. Полнокровие сосудов мозга, мягких мозговых оболочек и кровоизлияния в вещество мозга. Рис. 2. Резкое полнокровие (1) и очаговые некрозы (2) слизистой оболочки корня языка. Рис. 3. Некротический трахеобронхит, очаговая геморрагическая пневмония (темно-красные участки на разрезе) и фибринозный междолевой плеврит — слева.



При макроскопическом изучении в лёгких отмечается резкое полнокровие, отёк, очаги острой эмфиземы (смотри полный свод знаний Эмфизема лёгких), нередки участки уплотнения интенсивно-красного цвета с гладкой поверхностью разреза, а также гнойный бронхит (смотри полный свод знаний) и бронхиолит (смотри полный свод знаний), участки гнойной, абсцедирующей пневмонии и плевриты (цветной рисунок 3), обычно развивающиеся в случаях присоединения бактериальной, чаще стафилококковой, инфекции («пёстрые» гриппозные лёгкие). Гистологически часто обнаруживают очаги ателектаза, утолщение межальвеолярных перегородок за счёт белкового пропитывания и полнокровия, дистрофию и десквамацию альвеолоцитов. В просвете альвеол, кроме разрушающихся альвеолоцитов, обнаруживаются немногочисленные макрофаги и лейкоциты, взвешенные в серозной жидкости, местами распадающиеся лейкоциты или отёчная жидкость с колониями микробов.

Бронхопневмонии (смотри полный свод знаний Пневмония), зачастую вызываемые стафилококками, склонны к абсцедированию с последующим прорывом в плевральную полость. Эпителий бронхов при этом погибает на большом протяжении. Стенки сосудов лёгкого утолщены за счёт плазматического пропитывания, эндотелий нередко гиперплазирован. Наряду с явлениями стаза (смотри полный свод знаний) местами видны тромбы, связанные с очагами стафилококковой инфекции.

В случаях злокачественного течения Грипп, зачастую связанного с бактериальными наслоениями, явления полнокровия лёгких и внутренних органов выражены резко, а клеточные реакции оказываются подавленными, что объясняется сочетанной гриппозно-стафилококковой интоксикацией. Характерным для такой молниеносной формы Грипп является развитие токсического геморрагического отёка лёгких (смотри полный свод знаний).



Информация об Ordo Deus Перейти в оглавление сайта

Рис. 2.
Микроскопическая картина эпителиальных клеток бронхов (грипп): стрелками указаны многочисленные цитоплазматические включения (×400).



На 6—10-й день болезни наряду с выраженными расстройствами кровообращения и дистрофическими изменениями возникают регенераторные процессы в слизистой оболочке верхних дыхательных путей. В лёгких нередко развиваются нагноительные процессы, обусловленные бактериальной инфекцией, чему способствуют нарушения дренажной функции бронхов вследствие поражения мышечного слоя стенки бронхов и метапластических процессов в слизистой оболочке. Нередко отмечаются явления гнойного бронхита и бронхиолита с полным разрушением эпителиальной выстилки и последующей облитерацией просвета бронхиол или развитием бронхоэктазий.



Информация об Ordo Deus Перейти в оглавление сайта

Рис. 3.
Электронограмма: видны ауто фагосомы с разрушенными органоидами клетки (указаны стрелками), соответствующие цитоплазматическим включениям, показанным на предыдущем рисунке (×100 000).





Информация об Ordo Deus Перейти в оглавление сайта

Рис. 4.
Микроскопическая картина альвеол лёгкого (грипп):выражены островки кубического эпителия, сходные с гигантскими клетками (указаны стрелками).



Постгриппозные изменения в органах дыхания (11—30-й день) характеризуются разрастаниями и дифференцировкой пролиферирующих эпителиальных клеток бронхов. В участках ателектаза образуются мелкие полости, соответствующие альвеолам, выстланные кубическим эпителием с эозинофильной цитоплазмой. В просветах таких полостей содержится слизь, нейтрофильные лейкоциты с примесью погибших клеток и микробной флоры. Образование таких структур может способствовать развитию постгриппозных бактериальных пневмоний. В дальнейшем дифференцировка эпителиальных разрастаний происходит неравномерно, и на более поздних сроках в лёгких можно видеть островки кубического эпителия, напоминающие гигантские клетки (рисунок 4). Это, по-видимому, давало повод называть пневмонии, возникающие в этот период, гигантоклеточными неизвестной этиологии.

В других внутренних органах, особенно при тяжёлом Грипп, наблюдаются разнообразные дистрофические изменения, связанные с циркуляторными расстройствами. Отмечается острое набухание головного мозга (смотри полный свод знаний Отёк и набухание головного мозга), выражающееся явлениями стаза, кровоизлияниями (цветной рисунок 1) и дистрофическими изменениями клеток коры, иногда с лимфоидной инфильтрацией. Эти явления, ошибочно рассматривавшиеся ранее как гриппозный энцефалит, расцениваются как результат гриппозного нейротоксикоза. В симпатических ганглиях и стволах периферических нервов определяются дистрофические изменения.

В сердце при Грипп обнаруживаются дистрофические изменения мышечных волокон и нервных клеток интрамуральных ганглиев. Дистрофические и воспалительные изменения в сосудах иногда сочетаются с тромбозом вен (смотри полный свод знаний Тромбоз). В печени наряду с дистрофическими изменениями гепатоцитов нередко отмечается диффузная гиперплазия и про, лиферация купферовских клеток, круглоклеточная инфильтрация соединительнотканных прослоек.

Смерть при Грипп чаще всего связана с присоединением бактериальных нагноительных процессов, а также с собственно вирусным токсикозом, выражающимся в резких и острейших циркуляторных расстройствах.

.

Иммунитет

Человек не обладает врождённым иммунитетом к Грипп. Лишь у новорожденных имеются антитела к Грипп, получаемые при внутриутробном развитии от матери и исчезающие к 7-му мес. жизни. Приобретённый иммунитет при Грипп типо и штаммоспецифичен. Антигенные варианты вируса гриппа типа А вызывают только частичный перекрёстный иммунитет. Антитела к возбудителю появляются уже на 2—3 суток от начала болезни и достигают наиболее высокого уровня на 10—14-й день. Приобретённый иммунитет при гриппе типа С сохраняется, по-видимому, пожизненно, иммунитет к гриппу типа В — 3—5 лет, к гриппу типа А — 1—2 года. К гомологичным штаммам гриппа типа А иммунитет более прочен и продолжителен. Приобретённый иммунитет обеспечивают два вида факторов — местные (секреторные) и общие (гуморальные). К неспецифическим факторам иммунитета относятся кофакторы (смотри полный свод знаний Иммунитет противовирусный), сывороточные ингибиторы (смотри полный свод знаний) и интерферон (смотри полный свод знаний), которые снижают вероятность заболевания Грипп

.

Клиническая картина

Инкубационный период при гриппе типа А — от нескольких часов до двух суток, при гриппе типа В — до трёх суток.

У части больных наблюдаются так называемый предвестники болезни, проявляющиеся лёгким недомоганием, познабливанием, ломотой в суставах и мышцах, кратковременным повышением температуры тела до 37,1° — 37,5°.

Начало болезни часто острое — практически здоровый человек в течение нескольких часов превращается в тяжелобольного. В клинике Грипп выделяют два основных синдрома: интоксикационный и катаральный.

Первые симптомы болезни — признаки интоксикации: озноб, повышение температуры тела, головокружение, головная боль, разбитость, мышечные и суставные боли. Катаральные явления (выделения из носа, кашель, першение в горле, боль при глотании и другие) чаще появляются к концу 1 — 2 суток или вообще не проявляются. Головная боль имеет характерную локализацию в области лба, висков, надбровных дуг, глаз. Головокружение и склонность к обморокам чаще наблюдаются в юношеском и старческом возрастах, а также у лиц, страдающих гипертонической болезнью или атеросклерозом сосудов головного мозга. Лихорадка — один из основных симптомов Грипп Максимальная температура у большинства больных наблюдается в первый, реже второй день болезни. Длительность лихорадки 2—5 дней. Снижение температуры у части больных происходит критически, у других — ускоренным лизисом. У некоторых больных может быть двугорбый тип температурной кривой, что обусловливается обострением хронический очагов инфекций, возникновением осложнений воспалительного характера, вирусной суперинфекцией (смотри полный свод знаний Инфекция). Без лихорадочные формы Грипп крайне редки.

Вслед или вместе с ранними симптомами болезни начинают появляться и другие признаки интоксикации: адинамия, общая слабость, гиперемия кожных покровов лица, бессонница, бред, тошнота, рвота, судороги, менингеальные симптомы. Нередко наблюдаются геморрагии (носовые кровотечения, кровоточивость дёсен, кровь в мокроте и другие).

Катаральный синдром проявляется в виде фарингита (смотри полный свод знаний), ринита (смотри полный свод знаний), трахеита (смотри полный свод знаний), реже ларингита и бронхита. Чаще встречается фарингит, проявляющийся гиперемией зева, с характерной грануляцией задней стенки глотки и изредка геморрагиями. С 3-го дня болезни слизистая оболочка зева начинает бледнеть, а грануляции — уплощаться, оставляя выраженный сосудистый рисунок в виде сетки. Ринит в первые дни болезни проявляется затруднением носового дыхания, обусловленным гиперемией слизистой оболочки носовых ходов. Ринорея наступает на вторые — третьи сутки болезни у ½—1/3 больных. Кашель обычно сухой, надсадный, сопровождается болевыми ощущениями за грудиной, чиханье наблюдается у ½ больных. Конъюнктивит, светобоязнь и слезотечение относительно редки. Герпетические высыпания появляются обычно не ранее 3—4-го дня болезни.

Тяжесть течения Грипп определяется комплексом клинических признаков и прежде всего синдромом интоксикации (лихорадка, головная боль, нарушение сердечно-сосудистой деятельности, присоединение геморрагий).

Со стороны сердечно-сосудистой системы наблюдается приглушённость тонов сердца, гипотензия; при рентгенологическое исследовании на 2—3-й день иногда определяется усиление лёгочного рисунка, свидетельствующее о гиперемии лёгких. При пневмотахометрическом обследовании (смотри полный свод знаний Пневмотахография) выявляют снижение бронхиальной проходимости, более выраженное при гриппе типа А. Изменения со стороны почек соответствуют тяжести интоксикации и характеризуются уменьшением объёма выделяемой мочи, протеинурией (смотри полный свод знаний), реже микрогематурией (смотри полный свод знаний Гематурия). Увеличение печени при Грипп отмечается редко. Под влиянием токсина возбудителя Грипп иногда наблюдаются нарушения в деятельности печени, вплоть до токсического гриппозного гепатита, нарушения деятельности почек, а также снижение функции гипофизарно-надпочечниковой системы. Лейкоцитарная формула в первые дни болезни характеризуется выраженным палочкоядерным сдвигом, в дальнейшем появляется лейкопения. Средняя продолжительность болезни — 6 дней, при тяжёлых формах — 11 — 13 дней (эпидемии 1968—1969 и 1972— 1973 годы).

Осложнения

Наиболее частым и грозным осложнением Грипп является пневмония вирусного, бактериального или вирусно-бактериального генеза (смотри полный свод знаний Пневмония).

В 1968—1969 и 1972—1973 годы по данным отдельных клиник, при рентгенологическом исследовании у значительного числа больных Грипп определялись интерстициальные мелкоочаговые, крупноочаговые и долевые пневмонии. Чаще они локализовались в нижней доле правого лёгкого. Наблюдались также двусторонние пневмонии. Более чем у ½ стационарных больных Грипп пневмонии были диагностированы в первые 3 дня болезни. Пневмонии при Грипп в подавляющем большинстве случаев вирусно-бактериальные и, в частности, гриппозно-стафилококковые. Нередко они принимают затяжное течение, переходя в хронический форму или лёгочное нагноение. Молниеносные геморрагические пневмонии встречаются относительно редко. У детей младшего возраста и стариков пневмонии встречаются чаще. Существует мнение, что вирус А чаще вызывает пневмонию, чем вирус В.

Острый средний отит, поражение придаточных пазух носа, острый катаральный ларинготрахеит выявляются примерно у 1/3 больных.

Со стороны нервной системы осложнения наблюдаются у ¼ тяжелобольных. У большей их части отмечаются ранние неврологические осложнения в виде отёка мозга и повышения внутричерепного давления (смотри полный свод знаний Гипертензивный синдром). В меньшем числе случаев наблюдаются поздние неврологический симптомы: невралгии, радикулиты, плекситы, а также так называемый астеновегетативный синдром (смотри полный свод знаний Астенический синдром). Острые психические расстройства с бессонницей и дезориентацией иногда отмечают у детей и подростков (смотри полный свод знаний Инфекционные психозы).

.

Диагноз

Диагностика Грипп, особенно ранняя, иногда трудна. Часто наблюдается расхождение клинический, и серологические диагнозов. Основой ранней диагностики Грипп является характерная клинический, картина, анамнез, оценка эпидемиологическом обстановки (указание на контакт с лихорадящим больным, наличие в населённом пункте вспышек заболеваний или эпидемий), объективное исследование и лабораторные данные.

Клинические признаки, характерные для Грипп: острое начало, проявляющееся бурным нарастанием симптомов интоксикации, появление лихорадки, головной боли с типичной локализацией в области лба, надбровных дуг, глазных яблок, особенно при их движении; наличие адинамии, явлений менингизма, тошноты, рвоты, геморрагических явлений; типичная картина крови; частые осложнения, в частности пневмонии.

Дифференциальный диагноз

Сходство клинический, картины ОРЗ (парагриппа, аденовирусной, риновирусной и респираторносинцитиальной инфекции и другие) с Грипп часто затрудняет их дифференциальную диагностику.

Грипп, в отличие от ОРЗ, имеет более острое начало. Выраженные симптомы интоксикации при Грипп нарастают и достигают своего максимума очень быстро, иногда в течение нескольких часов. При ОРЗ они достигают своего максимума на 2—3-й день болезни и выражены умеренно или слабо. Температура при Грипп, как правило, достигает 38° и выше в 1 — 2 суток с момента заболевания; при ОРЗ температура часто держится на субфебрильных цифрах, а иногда и нормальная. Катаральные симптомы (насморк, конъюнктивит, фарингит, кашель и другие) при Грипп возникают на 1 — 2 суток позже симптомов интоксикации и бывают выражены слабо или умеренно, в то время как при ОРЗ они появляются одновременно с первыми признаками болезни, часто выражены резко и составляют основную симптоматологию болезни.

ОРЗ существенно различаются в зависимости от их способности поражать преимущественно тот или иной отдел дыхательных путей. При Грипп наряду с поражением всего дыхательного тракта наблюдаются наиболее выраженные симптомы трахеита, проявляющиеся сухим кашлем и болями по ходу трахеи. При парагриппе (смотри полный свод знаний Парагриппозные болезни) преимущественно поражается гортань и возникают симптомы ларингита: афония или осиплость голоса. Аденовирусные болезни (смотри полный свод знаний) проявляются поражением слизистых оболочек глаз (конъюнктивит), носа (ринит), глотки (фарингит), миндалин (тонзиллит с выраженным экссудативным компонентом). Риновирусные болезни (смотри полный свод знаний Риновирусная болезнь) преимущественно проявляются ринитом и ринореей. При респираторно-синцитиальном заболевании у детей (смотри полный свод знаний Респираторные вирусные болезни) нередко возникает астматический бронхиолит (смотри полный свод знаний Бронхиальная астма), с отёком и спазмом гладкой мускулатуры мельчайших бронхов, у взрослых же чаще имеет место фарингит. ОРЗ микоплазменной этиологии сопровождаются сухостью и першением в глотке и надсадным сухим кашлем. Изолированное поражение гортани отмечается при Грипп редко. При парагриппе ведущим катаральным симптомом является слабовыраженный ларингит (боли в горле, сухой кашель и осиплость голоса), у подавляющего числа больных встречающийся изолированно, хотя патологический процесс может иногда распространяться и на трахею.

При аденовирусных болезнях, сопровождающихся поражением верхних дыхательных путей, у ряда больных наблюдаются боли в животе, дисфункция кишечника и увеличение печени, а у 1/3 больных безболезненное, незначительное или умеренное увеличение лимф, узлов, преимущественно шейных, подчелюстных и значительно реже подмышечных и паховых; иногда на коже туловища отмечается сыпь.

Принято считать, что наиболее характерным для Грипп является ринофаринголаринготрахеит, для парагриппа — ринофаринголарингит, для аденовирусной инфекции — ринофаринготонзиллит (изолированный) в сочетании с конъюнктивитом и ринофарингоконъюнктивит. Респираторно-синцитиальное заболевание с поражением верхних дыхательных путей у половины больных протекает по типу ринофарингита. В группе больных с поражением нижних дыхательных путей при этой инфекции, как правило, наблюдается ринофарингобронхит — самостоятельный и с пневмонией. Однако при каждом ОРЗ встречаются и общие катаральные синдромы.

Лабораторная диагностика

Используются вирусологический, серологические и цитологически методы.

Вирус Грипп выделяется в первые дни болезни из отделяемого носовых ходов и зева больных. Наиболее эффективный метод — заражение куриных эмбрионов в амниотическую и аллантоисную полости с последующей инкубацией при t° 32—37°. Можно использовать, особенно для вируса Грипп типа В, заражение первично трипсинизированных культур из почек куриного эмбриона, молодых обезьян или эмбриона человека. Для индикации вируса в аллантоисной или амниотической жидкостях куриного эмбриона, а также в культуральной жидкости применяют реакцию гемагглютинации (смотри полный свод знаний). Наличие вируса в заражённом монослое определяют по реакции гемадсорбции (прилипанию эритроцитов к монослою заражённых клеток), реже по наличию цитопатического эффекта (зернистому перерождению клеток и разрежению монослоя). При отсутствии вируса в первом пассаже делают дополнительные пассажи.

Идентификацию выделенных вирусов проводят по РСК, РТГА, реакции нейтрализации (PH) и реакции преципитации в агарозном геле. Принадлежность гемагглютинина к тому или иному серотипу (А, В, С) устанавливают типоспецифическими диагностическими сыворотками, после чего используют штаммоспецифические сыворотки для определения антигенного варианта в пределах данного серотипа. Антигенную специфичность нейраминидазы выделенных вирусов Грипп устанавливают в реакции подавления нейраминидазной активности (РПНА). После контакта вируса с различными антисыворотками определяют остаточную нейраминидазную активность смеси. Действие нейраминидазы оценивают по ее способности отщеплять N-ацетилнейраминовую кислоту от овомуцина или фетуина.

Серологические диагностика Грипп основана на выявлении прироста антител в сыворотках реконвалесцентов в 4 и более раз по РСК, РТГА, PH или реакции непрямой гемагглютинации (РНГА). В РСК употребляют типоспецифические антигены из вирусов гриппа типа А и В. Это даёт возможность отличить грипп типа А от гриппа типа В, но не обеспечивает выявления антигенного подтипа, вызвавшего эпидемию. В трёх последних реакциях используют эпидемически активные антигенные варианты вирусов Грипп типов А и В. Высокая штаммовая специфичность антигена особенно важна при исследовании сыворотки крови детей младшего возраста, впервые переболевших Грипп, содержащей строго специфические противогриппозные антитела.

Постановка РТГА часто осложняется наличием в сыворотках неспецифических ингибиторов, симулирующих действие антител и искажающих специфичность реакции. Для их разрушения сыворотки обрабатывают рецептородеструктирующими ферментами бактериального происхождения или риванолом, а также углекислым газом, перийодатом калия или натрия, а также адсорбируют коалином. Для изготовления антигенов используют резистентные к ингибиторам варианты штаммов.

PH на куриных эмбрионах, тканевых культурах или по цветной пробе является чувствительным, но более трудоёмким методом диагностики Грипп, чем РТГА. В PH необходимо использовать ингибиторорезистентные штаммы вируса Грипп или удалять из сыворотки неспецифические ингибиторы.

В качестве диагностикума для РТГА используют специальные препараты, представляющие собой консервированные эритроциты с фиксированными на их поверхности вирусами. Сенсибилизированные вирусами эритроциты специфически агглютинируются под влиянием противогриппозных антител. РНГА можно ставить капельным методом. На результаты РНГА не влияют неспецифические ингибиторы.

Экспрессную (или раннюю) диагностику Грипп в течение первых дней болезни проводят цитологически методом с использованием флюоресцирующих антител. Метод основан на способности противогриппозных антител, меченных флюорохромами, специфически соединяться с вирусом Грипп и обнаруживать его присутствие в клетках цилиндрического эпителия при просмотре мазков-отпечатков из носовой полости в люминесцентном микроскопе.

Для ранней диагностики Грипп значительно реже используют метод риноцитоскопии, основанный на изучении морфологически изменений эпителиальных клеток слизистой оболочки носа больных людей. Один из характерных признаков Грипп — вирусные включения, расположенные в клетках цилиндрического эпителия или внеклеточно.

.

Лечение

До назначения медикаментов врач должен изолировать больного от остальных членов семьи, соседей по общежитию, квартире и установить в остром периоде обязательный постельный режим при заболевании любой тяжести.

Для лечения Грипп применяют комплексную терапию, направленную на подавление репродукции вируса в организме, нейтрализацию гриппозного токсина, устранение катаральных и других симптомов. Лечение больного при типичной клинический, картине Грипп проводится в домашних условиях. Больных с тяжёлыми, а также осложнёнными формами Грипп госпитализируют, как и больных с сопутствующими тяжёлыми сердечно-сосудистыми или другими соматическими заболеваниями.

Больным рекомендуется молочно-растительная диета, обогащённая витаминами, с обильным количеством жидкости (тёплое молоко, горячий чай, морс, фруктовые соки и другие). Следует рекомендовать частое проветривание комнаты больного, туалет полости рта, наблюдение за функцией кишечника.

Медикаментозное лечение проводят в зависимости от тяжести течения болезни, а также от наличия тех или иных осложнений. Для больных с лёгким или умеренно тяжёлым течением назначают в первые двое суток болезни ремантадин по 50 миллиграмм 3 раза в день, в течение 3—5 дней, иногда в комбинации с аскорбиновой к-той. Целесообразно вдыхать противогриппозную сыворотку по 0,5 миллилитров в каждую ноздрю 2—3 раза в день в течение 2—3 дней. Помимо этих препаратов, больному назначают патогенетические и симптоматические средства в различных комбинациях.

Для снятия головной боли, мышечных и суставных болей применяют ацетилсалициловую кислоту, амидопирин, анальгин или другие жаропонижающие и болеутоляющие препараты (аскофен, пираминал, новоцефальгин, новомигрофен и другие); при возбуждении и бессоннице — фенобарбитал, барбамил и другие препараты в седативных или снотворных дозах; при сильном кашле рекомендуется кодеин, этилморфина гидрохлорид, отхаркивающие средства, горчичники, щелочные тепло-влажные ингаляции; для устранения сухости и першения в глотке — тёплое питье (тёплое молоко с боржомом); при рините — введение в нос через 3—4 часа 2—5% раствора эфедрина, нафтизина или других сосудосуживающих препаратов. При рините применяют оксолин (оксолиновая мазь), который наряду с профилактическим обладает и лечебный действием. Для профилактики сердечно-сосудистых расстройств полезен кордиамин внутрь.

При неосложнённом Грипп лёгкой и средней тяжести течения антибиотики и сульфаниламидные препараты не назначают, за исключением лиц преклонного возраста или ослабленных сопутствующими болезнями. Этой группе больных показаны с профилактической целью таблетированные антибиотики (тетрациклин, витациклин, рондомицин, олететрин и другие) или сульфаниламидные препараты в лечебный дозах. Некоторым больным назначают физиотерапию: аэроионотерапию с помощью аппаратов для индивидуального (АИР-2) и группового (АФ-2) пользования, УФ-облучение, УВЧ, индуктотерапию.

При тяжёлой форме с выраженным синдромом интоксикации вводят внутримышечно донорский противогриппозный гамма-глобулин в дозе 3,0 миллилитров. Обычно после введения гамма-глобулина через 6—12 часов снижается температура, уменьшаются или исчезают симптомы интоксикации, улучшается состояние больного. Если этого не происходит, рекомендуется повторная инъекция препарата в прежней дозе; можно также вводить донорский противокоревой гамма-глобулин или сывороточный полиглобулин по 3,0 миллилитров внутримышечно по той же схеме, что и противогриппозный гамма-глобулин. Специфический полиглобулин эффективен при парагриппе, аденовирусном, респираторно-синцитиальном и других гриппоподобных болезнях. На течение катарального синдрома гамма-глобулин не оказывает заметного влияния. Лейкоцитарный интерферон применяют с лечебный целью на ранней стадии болезни, при появлении первых клинический, симптомов Грипп

Биопрепараты следует вводить тяжелобольным многократно, вплоть до снижения температуры и исчезновения выраженной интоксикации.

При первых признаках сердечнососудистой недостаточности внутривенно вводят глюкозу с коргликоном, строфантином или другими сердечными гликозидами, назначают вдыхание кислорода.

Больным с тяжёлым течением Грипп в целях предупреждения пневмонии назначают таблетированные антибиотики. При подозрении на присоединение к Грипп пневмонии антибиотики вводят внутримышечно, а в тяжёлых случаях — внутривенно. Рекомендуется следующая схема лечения пневмонии. Внутримышечно вводят противогриппозный гамма-глобулин (или полиглобулин), внутривенно — морфоциклин или олеморфоциклин, внутрь — таблетки олететрина или сигмамицина, противовоспалительные, десенсибилизирующие, сердечные, отхаркивающие средства, банки. Через 2—3 суток внутривенное введение антибиотиков прекращают. Назначают аэрозоли антибиотиков в комбинации с энтеральным введением террамицина, канамицина и другие

При отсутствии эффекта через 5— 7 дней после начала лечения применяют внутримышечно полусинтетические пенициллины (метациллин, оксациллин) или антибиотики цепоринового ряда (цепорин и другие); при появлении крови в мокроте добавляют внутривенно хлорид кальция.

Особенно энергично нужно проводить лечение при гипертоксических, крайне тяжёлых формах Грипп по следующей примерной схеме: многократное введение противогриппозного гамма-глобулина и других противовирусных средств для борьбы с вирусной токсемией; капельное введение изотонического (от 200 до 500 миллилитров) раствора глюкозы или хлорида натрия с целью дезинтоксикации; внутривенное введение морфоциклина или олеморфоциклина; внутримышечное введение (4—5 раз в сутки) метициллина, оксациллина или цепорина, то есть антибиотиков противостафилококкового действия; внутривенное, а затем внутримышечное введение гидрокортизона, норадреналина, метазона, эфедрина для устранения сосудистых нарушений; при сердечно-сосудистой недостаточности — внутривенное введение строфантина или коргликона, подкожное введение кордиамина; назначение кислорода или помещение больного в кислородную палатку для борьбы с гипоксией. К этому при необходимости добавляют другие лечебный мероприятия, в частности антигеморрагический комплекс лечебный средств при выявлении геморрагического синдрома; дегидратационная терапия при резко выраженных церебральных симптомах (внутривенное введение гипертонических растворов глюкозы, внутримышечно — новурит, люмбальная пункция и так далее).

.

Прогноз

Прогноз при тяжёлых и особенно осложнённых формах Грипп у стариков и детей — серьёзный.

.

Профилактика

Профилактика обеспечивается комплексом санитарно-гигиенических и противоэпидемические мероприятий, направленных на защиту населения от заражения Грипп, ограничение распространения инфекции.

В целях своевременной и эффективной организации профилактических мероприятий большую роль приобретает прогнозирование ожидающейся эпидемии Грипп и установление динамики её распространения по стране. Во ВНИИ гриппа МЗ СССР с достаточным успехом проводится моделирование характера и масштабов возникающих эпидемий Грипп, позволяющее правильно и вовремя организовывать меры профилактики и оказание медпомощи заболевшим.

В период эпидемии Грипп мероприятия направлены на раннее выявление больных и разобщение их со здоровыми лицами, что достигается изоляцией больных в семьях или больницах. В этих целях значительно расширяется амбулаторная и больничная помощь заболевшим с преимущественным повторным обслуживанием больных на дому, для чего выделяются дополнительные транспортные средства.

При лечении больного дома лицам, ухаживающим за ним, рекомендуется носить 4—6-слойные марлевые маски. Предметы обихода больного дезинфицируют, ежедневно проводят влажную уборку и регулярно проветривают помещение, где находится больной.

Для уменьшения опасности распространения Грипп в период эпидемии реорганизуется работа амбулаторных учреждений. Увеличивается число участковых врачей для обслуживания больных на дому; если необходимо, то для этой цели также привлекаются врачи других специальностей, средний медперсонал, студенты старших курсов медицинский институтов. В помещениях поликлиник и детских консультаций проводят 2—3 раза в день влажную уборку помещения с применением 0,5% осветлённого раствора хлорной извести или 0,2% раствора хлорамина с последующим проветриванием. Для обеззараживания воздуха рекомендуется облучение помещений бактерицидными ультрафиолетовыми лампами.

Госпитализируют в период эпидемии Грипп больных тяжёлыми и осложнёнными формами, а также лиц, страдающих тяжёлыми сопутствующими заболеваниями. Обязательно изолируют больных из общежитий и других коллективов.

В больницах открываются специализированные отделения для госпитализации тяжелобольных, развёртываются дополнительные койки. В лечебный учреждениях устанавливают противоэпидемические режим (смотри полный свод знаний Изоляция инфекционных больных), ограничивающий распространение гриппозных заболеваний.

В аптечной сети заблаговременно создают резерв медикаментов и дезинфицирующих средств для бесперебойного снабжения населения и лечебный учреждений.

В период эпидемии ограничиваются зрелищные и другие массовые мероприятия, особенно для детей. Вводится обязательное ношение марлевых повязок работниками медицинских, транспортных, торговых, бытовых и других предприятий, связанных с обслуживанием населения.

Осуществлению указанных мероприятий способствует широкая санитарно-просветительская работа среди населения с пропагандой по радио, телевидению, в кино правил личной гигиены, важности своевременного обращения к врачу и так далее.

Специфическая профилактика Грипп основана на активной иммунизации гриппозной вакциной. Существует два вида гриппозных вакцин (живая и инактивированная), которые начали разрабатываться с 1937 год. В СССР для активной иммунизации против Грипп применяют предложенную А. А. Смородинцевым живую гриппозную вакцину (ЖГВ), которую вводят в верхние дыхательные пути. В США, Великобритании, Франции и других странах используют инактивированную яичную вакцину для подкожного или внутримышечного введения.

Живая гриппозная вакцина производится из аллантоисной жидкости развивающихся куриных эмбрионов, заражённых ослабленными штаммами вируса Грипп Препарат выпускается в виде гриппозных моновакцин типа А и В. Эффективность ЖГВ во многом зависит от соответствия вакцинных штаммов возбудителю Грипп, вызывающему текущие эпидемии. Поэтому состав ЖГВ по вакцинным штаммам, идентичным по свойствам гемагглютинина и нейраминидазы эпидемиологически актуальным возбудителям Грипп, обновляют 1 раз в 3—4 года. Так, вакцинные штаммы вируса типа А были заменены в 1957, 1965, 1969 и 1973 годы. Штаммы вируса типа В заменяют через 5— 10 лет. Необходимость периодической замены вакцинных штаммов осложняет вакцинопрофилактику Грипп и снижает эффективность этого мероприятия в период появления новых подтипов вируса Грипп, когда старый состав ЖГВ недостаточно специфичен.

Для получения вакцинных штаммов вируса Грипп, безвредных для людей, применяют метод последовательных пассажей в развивающихся куриных эмбрионах. Снижение вирулентности происходит через 15— 25 пассажей. Вакцинные штаммы, полученные в указанных условиях, высокореактогенны для детей до 15 лет.

К числу основных требований к ЖГВ относится высокая её активность, то есть способность стимулировать противогриппозный иммунитет. Вводят её по 0,25 миллилитров в носовые ходы с помощью распылителей жидких препаратов с регулируемой дисперсностью или распылителя-дозатора.

Способность ЖГВ стимулировать секреторный иммунитет в месте входных ворот инфекции является преимуществом этого препарата, отличающим его от инактивированной гриппозной вакцины, парентеральное введение которой вызывает преимущественное накопление антител в крови. Антитела секретов дыхательных путей обладают более широким спектром специфической активности.

Иммунизация против Грипп проводится ежегодно в осенне-зимний период. Прививают здоровых взрослых людей старше 16 лет, работающих на крупных фабриках и заводах, транспорте, предприятиях связи, в коммунальных и медицинский учреждениях, торговле, милиции.

Вакцинацию проводят в плановом порядке трёхкратно с интервалом в 10—14 дней. Эффект прививок во многом зависит от техники вакцинации, требующей весьма тщательного введения вакцины с помощью распылителя.

Профилактические прививки разрешается проводить в начале эпидемии Грипп, сокращая интервал между ревакцинациями до 5—7 дней. В этом случае вакцины сначала стимулируют образование интерферона — неспецифического защитного фактора противогриппозного иммунитета, а через 2—3 недель формируется специфический иммунитет.

Интраназальная ЖГВ не применяется для профилактики Грипп у детей ввиду её повышенной реактогенности при введении в дыхательные пути.

А. К. Алексеева и О. Грипп Анджапаридзе (1968) разработали тканевую ЖГВ для перорального введения, которую производят на первичной культуре почек эмбриона кур или перепёлок. Препарат безвреден для взрослых и детей, обладает интерфероногенной и защитной активностью. ЖГВ, введённая в жидком виде через рот, не вызывает прививочных реакций, но стимулирует образование антител, что даёт возможность использовать её для профилактики Грипп у детей.

Современные инактивированные гриппозные вакцины представляют высококонцентрированную и очищенную от балластных веществ взвесь вируса Грипп, выращенного на куриных эмбрионах и инактивированного формалином.

В СССР очищенные и концентрированные препараты инактивированной гриппозной вакцины применяются для вакцинации доноров с целью получения гемагглютинина с высоким содержанием противогриппозных антител.

Вакцинопрофилактика снижает заболеваемость Грипп привитых по сравнению с непривитыми в период эпидемий в 1,5—3 раза, иногда — в 4—5 раз.

Для индивидуальной экстренной профилактики Грипп используют лейкоцитарный интерферон, полученный в культуре человеческих лейкоцитов. Этот препарат обладает широким спектром противовирусного действия, направленного не только против вируса Грипп, но и других респираторных вирусов — возбудителей ОРЗ негриппозной природы. Лейкоцитарный интерферон вводят интраназально путём закапывания в нос по 5 капель или ингаляторно 1 — 3 раза в сутки ежедневно в течение всей эпидемии.

.

Грипп у детей

Грипп у детей протекает тяжелее, чем у взрослых, с частыми осложнениями в виде пневмоний, отитов, пиелонефритов и другие Грипп у детей отягощает течение других болезней, снижает реактивность детского организма и имеет немалый удельный вес среди причин детской смертности. К Грипп восприимчивы дети всех возрастных групп. Описаны случаи внутриутробного заражения плода от больной матери. Болезнь начинается с высокой температуры (39— 40°), непродолжительной лихорадки (2—5 дней) и быстро развивающихся симптомов интоксикации. Отмечается преобладание синдрома общей интоксикации, связанного с поражением центральная нервная система, над местными катаральными проявлениями со стороны дыхательных путей. К основным и ранним симптомам интоксикации относятся головная боль, головокружение, повторные рвоты, боли в животе, гиперестезия, возбуждение или адинамия, сонливость, носовые кровотечения, наблюдаемые у детей старшего возраста. При высокой лихорадке у отдельных детей отмечается спутанность сознания, бред, галлюцинации, менингеальные симптомы, мышечные боли, озноб.

Грипп у детей раннего возраста нередко начинается с судорог, потери сознания, рвоты, реже симптомов менингизма. Судороги обычно проявляются на фоне высокой температуры, имеют клонико-тонический характер (смотри полный свод знаний Судороги).

Грипп у новорожденных и детей первых месяцев жизни отличается стёртостью клинический, симптоматики. У них на фоне нормальной или субфебрильной температуры отмечается затруднённое носовое дыхание, беспокойство или вялость, отказ от груди, срыгивания без ухудшения стула. В отдельных случаях возможно кратковременное учащение стула без патологический примесей. Своеобразие клинический, течения Грипп в данной возрастной группе обусловлено сниженной реактивностью организма, а в некоторых случаях и наличием трансплацентарных противогриппозных антител.

Катаральные явления со стороны органов дыхания примерно в 20— 30% случаев отсутствуют или выражены очень слабо. У других больных отмечается умеренная гиперемия зева, заложенность носа или имеются незначительные слизистые выделения, сухой кашель, иногда грубый, трахеальный, першение в горле, ларингит. Ларингит может сопровождаться явлениями стеноза, давая картину крупа (смотри полный свод знаний).

Поражения лёгких при Грипп чаще протекают без выраженной клинический, симптоматики и нередко выявляются лишь рентгенологически, отличаются нестойкостью. Характерны своеобразные «сегментарные поражения» в виде гомогенных крупных теней, соответствующих расположению сегмента, реже доли лёгкого. Эти изменения появляются с начала болезни и обычно исчезают через несколько суток. В картине крови в первые дни болезни отмечается лейкоцитоз, нейтрофилез с палочкоядерным сдвигом, эозинопения или анэозинофилия и токсическая зернистость нейтрофилов. В последующие дни — лейкопения, лимфоцитоз. РОЭ в пределах нормы или умеренно ускорена.

Продолжительность заболевания Грипп без осложнений — 3—8 дней. После 1—3 дней нормальной температуры возможен ее подъем при отсутствии осложнений (вторая волна).

Диагностика Грипп у детей при выраженной клинический, картине облегчается в эпидемиологическом период. Необходимо помнить о наличии лёгких и бессимптомных форм болезни. При диагностике таких форм необходимо учитывать эпидемиологический данные и результаты лабораторных методов исследования.

Лечение детей при тяжёлых формах Грипп основывается на раннем введении специфического донорского противогриппозного гамма-глобулина по 1—3 миллилитров внутримышечно. На ранней стадии болезни показано также введение лейкоцитарного интерферона в виде аэрозоля по 0,25 миллилитров в каждый носовой ход 4—5 раз в день в течение 3—4 дней. Одновременно проводят неспецифическую патогенетическую и симптоматическую терапию. При гипертермии — внутримышечное введение амидопирина или анальгина, сочетанное введение суточной дозы аминазина, димедрола или пипольфена с раствором новокаина (литическая смесь), холод на голову, к крупным сосудам. Для борьбы с ацидозом показана кокарбоксилаза. При судорогах внутримышечно вводят сульфат магния, фенобарбитал per os или в клизме — суточная доза разводится в 10 миллилитров 2% тёплого раствора гидрохлорида натрия, 20% раствор ГОМК внутривенно или внутримышечно; в случае длительных судорог и наличия менингеальных симптомов — спинномозговая пункция (смотри полный свод знаний). Для устранения менингоэнцефалитического синдрома, наряду с гипотермическими и противосудорожными средствами, применяют мочегонные, гормональные препараты внутримышечно, внутривенно; с целью дегидратации и дезинтоксикации — низкомолекулярные растворы (гемодез, поливинол, реополиглюкин, альбумин) и осмотические диуретики (15% маннитол, 20% сорбитол) внутривенно. Из сердечно-сосудистых средств — корглюкон, строфантин, дигоксин, мезатон. При лёгких и среднетяжёлых формах Грипп наряду с общими мероприятиями (постельный режим, обильное питье) проводят симптоматическую и стимулирующую терапию (анальгин, димедрол, витамины, отхаркивающие микстуры, горчичники, банки, горячие ножные ванны и другие). Назначение антибиотиков при неосложнённом течении Грипп не рекомендуется. Исключение составляют дети до 2 лет, у которых часто возникают осложнения; им назначают антибиотики с первого дня болезни. Сульфаниламиды не показаны.

Александрова Г.И.; Закстельская Л.Я.; Злыдников Д.М.; Иванников Ю.Г.; Ильин Г.И.; Карпухин Г.И.; Лузянина Т.Я.; Сиротенко Е.А.; Шадрин А.С.

⇐ Перейти на главную страницу сайта

⇑ Вернуться в начало страницы ⇑

Библиотека Ordo Deus ⇒

⇐ Грибковые заболевания кожи

⇓ Полный свод знаний. Том первый А. ⇓

Грыжи ⇒

Все статьи в полном изложении, Вы можете найти в большой медицинской энциклопедии — Главный редактор: академик АН СССР (РАН) и АМН СССР (РАМН) Б.В. Петровский. — Москва издательство «Советская энциклопедия» 1989г.

Внимание! Вы находитесь в библиотеке «Ordo Deus». Все книги в электронном варианте, содержащиеся в библиотеке «Ordo Deus», принадлежат их законным владельцам (авторам, переводчикам, издательствам). Все книги и статьи взяты из открытых источников и размещаются здесь только для чтения.

Библиотека «Ordo Deus» не преследует никакой коммерческой выгоды.

Все авторские права сохраняются за правообладателями. Если Вы являетесь автором данного документа и хотите дополнить его или изменить, уточнить реквизиты автора, опубликовать другие документы или возможно вы не желаете, чтобы какой-то из ваших материалов находился в библиотеке, пожалуйста, свяжитесь с нами по e-mail:
info @ ordodeus. ru
Формы для прямой связи с нами находятся в нижней части страниц: контакты и устав «Ordo Deus», для перехода на эти страницы воспользуйтесь кнопкой контакты вверху страницы или ссылкой в оглавлении сайта.

Вас категорически не устраивает перспектива безвозвратно исчезнуть из этого мира? Вы не желаете закончить свой жизненный путь в виде омерзительной гниющей органической массы пожираемой копошащимися в ней могильными червями? Вы желаете вернувшись в молодость прожить ещё одну жизнь? Начать всё заново? Исправить совершённые ошибки? Осуществить несбывшиеся мечты? Перейдите по ссылке: «главная страница».

© Ordo Deus, 2010. При копировании ссылка на сайт http://www.ordo-deus.ru обязательна.