Ко второй группе должны быть отнесены сравнительно редкие случаи развития Гипопластическая анемия при туберкулёзе, беременности. Гипопластическая анемия, связанная с приёмом в пищу перезимовавшего зерна (смотри полный свод знаний Алейкия алиментарно-токсическая), практически не встречается. Из факторов с факультативным миелотоксическим эффектом наиболее опасен антибиотик левомицетин (хлорамфеникол). По данным Валлерштейна с сотрудники (R. О. Wallerstein, 1969), у лиц, принимающих левомицетин (смотри полный свод знаний), возможность заболеть Гипопластическая анемия в 13 раз выше, чем у населения в целом. Реже описывают Гипопластическая анемия в связи с приёмом органических соединений мышьяка (мафарсен и другие), противомалярийных препаратов, производных гидантоина, фенилбутазона, солей золота. Гипопластическую анемию, вызванную воздействием различных внешних факторов, называют миелотоксической анемией. Примерно в 50% случаев Гипопластическая анемия выявить причину заболевания не удаётся — так называемый идиопатическая форма. Этиология конституциональной Гипопластическая анемия (синдрома, или анемии, Фанкони, парциальной Гипопластическая анемия Джозефса — Даймонда — Блекфена и семейной Гипопластическая анемия Эстрена — Дамешека) связана скорее всего с наследованием гена от одного из родителей по рецессивному типу. При цитогенетическом исследовании Блум (G. Е. Bloom) с сотрудники (1966) обнаружили у больных разнообразные хромосомные аберрации в кроветворных клетках. Описаны случаи заболевания детей, родившихся от межродственных браков. Некоторые авторы отмечают сходство синдрома Фанкони с эмбриопатией (смотри полный свод знаний), вызванной талидомидом (смотри полный свод знаний). ПатогенезРазвитие Гипопластическая анемия может быть связано либо с повреждением стволовой клетки, родоначальной для грануло- , эритро- и тромбоцитопоэза, либо с дефектом её микроокружения (смотри полный свод знаний Кроветворение), препятствующим нормальной жизнедеятельности этой клетки. Обнаружение хромосомных аберраций при врождённой Гипопластическая анемия, лечебный эффективность трансплантации костного мозга от однояйцовых близнецов, а также малое количество стволовых клеток, выявляемое при культивировании костного мозга больных, подтверждают первое предположение. Редкость возникновения Гипопластическая анемия под влиянием перечисленных факультативных факторов говорит о роли индивидуального, возможно наследственного, предрасположения. Участие аутоиммунных механизмов предполагается только при парциальной Гипопластическая анемия, при которой Крантц (S. В. Krantz, 1973) и Л. И. Идельсон с сотрудники (1976) обнаружили антитела к ядрам эритроцитов. Около 50% случаев парциальной Гипопластическая анемия развивается у больных, страдающих доброкачественной тимомой; причины этого пока неясны. При Гипопластическая анемия дефицита факторов кроветворения не наблюдается. Напротив, содержание их в крови даже повышено вследствие неполного использования уменьшенной по объёму эритропоэтической ткани. Геморрагические проявления при Гипопластическая анемия обусловлены нарушением гемостаза в результате глубокой тромбоцитопении и поражения сосудистой стенки. Повышенная проницаемость сосудистой стенки носит вторичный характер и связана с гипоксией, недостатком серотонина. Гистохимические и иммуноморфологические исследования выявляют глубокие структурные нарушения в сосудистой стенке. Патологическая анатомияНа вскрытии обнаруживают признаки малокровия и дистрофии внутренних органов, обильное отложение жира в подкожной клетчатке, эпикарде, сальнике, множественные геморрагии в коже, слизистых оболочках, серозных покровах, внутренних органах. Иногда отмечают массивные кровоизлияния в головной мозг или мышцу сердца, являющиеся непосредственной причиной смерти. Костный мозг плоских костей бледно-розового или желтоватого цвета, иногда с тёмно-красными участками кровоизлияний. При сдавлении кости с поверхности разреза стекает кровянистая жидкость, богатая жиром. Среди жирового костного мозга могут наблюдаться участки сохранившейся кроветворной ткани. Размеры селезёнки и лимф, узлов часто уменьшены.
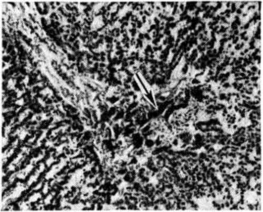
При микроскопическом исследовании костного мозга (смотри полный свод знаний) выявляется различная степень его опустошения. В случае аплазии в жировом костном мозге находят лишь небольшие скопления лимфоцитов, плазматических клеток и недифференцированных элементов, единичных гранулоцитов и нормобластов. При гипоплазии несколько чаще обнаруживают участки кроветворной ткани. Характерна неравномерность распространения очагов кроветворения не только в различных участках скелета, но и в пределах одной и той же кости. Структура костной ткани чаще сохранена. Как для ранних, так и для поздних фаз болезни характерно отложение гемосидерина в селезёнке, печени (рисунок 1) и костном мозге, реже в почках (рисунок 2), лимфатических, узлах. К частым осложнениям Гипопластическая анемия относят фибринозно-геморрагические пневмонии и некротические изменения в слизистых оболочках и серозных покровах, коже, внутренних органах. Течение и симптомы. Заболевание может протекать остро, подостро или хронически. В острых случаях процесс начинается с бурного геморрагического диатеза (смотри полный свод знаний Геморрагические диатезы), тяжёлой общей интоксикации, инфекционных осложнений. Чаще наблюдается постепенное нарастание симптомов. Появляются адинамия, слабость, головокружение, быстрая утомляемость, одышка при физ. нагрузке, иногда боли в костях и области сердца. Отмечается восковидная бледность кожи без желтушности, малокровие видимых слизистых оболочек. Подкожная жировая клетчатка сохранена. При развитии глубокой тромбоцитогонении (смотри полный свод знаний) возникают кровоизлияния на коже, слизистых оболочках и глазном дне, носовые, десневые, маточные, кишечные, почечные и другие кровотечения. При прогрессировании процесса может иметь место неврологический симптоматика, обусловленная геморрагиями в головной мозг. При парциальной Гипопластическая анемия кровоточивость отсутствует. Размеры лимф, узлов, селезёнки и печени не изменяются. Картина крови. Анемия носит нормохромный, нормоцитарный, реже макроцитарный характер. Полихроматофилия отсутствует, число ретикулоцитов нормально или снижено. Лейкопения может достигать 1000 клеток в 1 микролитров. и менее; она обусловлена в основном гранулоцитопенией и сопровождается относительным лимфоцитозом. Абсолютное число лимфоцитов при резкой лейкопении также снижено. Отмечается тромбоцитопения с удлинением времени кровотечения (смотри полный свод знаний) и снижением ретракции кровяного сгустка (смотри полный свод знаний Ретракция). Плазменные факторы свёртывания крови (смотри полный свод знаний Свёртывающая система крови) не изменяются. Содержание сывороточного железа повышено, общая железо-связывающая способность сыворотки чаще повышена. Парциальная Гипопластическая анемия характеризуется хронический нормоцитарной анемией, часто без лейко- и тромбоцитопении, с глубокой ретикулоцитопенией. Пунктат костного мозга, как правило, скудный, ядерные элементы представлены в основном лимфоцитами, немногочисленными гранулоцитами и нормобластами. Мегакариоциты чаще отсутствуют. Иногда, несмотря на явную панцитопению, пунктат оказывается довольно богатым; это связано с попаданием иглы в очаг сохранившегося кроветворения. Помимо чисто количественного дефицита эритробластических элементов, при Гипопластическая анемия отмечают признаки качественной их патологии (дизэритропоэз), мегалобластоидность, атипичные митозы, многоядерность (смотри полный свод знаний Дизэритропоэтическая анемия). При парциальной Гипопластическая анемия пунктат костного мозга богат ядерными элементами, лейкотромбоцитопоэз не нарушен, но число клеток красного ряда нередко резко уменьшено или они полностью отсутствуют. Трепанобиопсия подвздошной кости выявляет резкое преобладание жирового костного мозга над кроветворным (рисунок 3), иногда отсутствие последнего. Исследование с радиоактивным железом 59Fe даёт наиболее точную суммарную оценку эритропоэза: клиренс изотопа из плазмы замедлен, он накапливается в основном в печени, включение метки в эритроциты резко замедлено. Осложнения. Основными осложнениями и непосредственной причиной смерти больных являются кровотечения и инфекционно-воспалительные процессы. Геморрагии выявляются при снижении числа тромбоцитов ниже критического уровня (20 000—30 000 в 1 микролитров.), могут провоцироваться даже незначительными травмами (подкожные инъекции и так далее). Инфекции (пневмонии и другие) развиваются при достаточно длительном и выраженном (менее 500 в 1 микролитров.) снижении числа нейтрофилов. Всякая лихорадка у больных Гипопластическая анемия, как правило, связана с наличием инфекционного очага; описано немало случаев развития у них острого лейкоза. Лейкозы на фоне гипоплазии лучевого или бензольного происхождения относятся к группе миелобластных или миеломонобластных и являются, видимо, поздним результатом лейкемогенного действия фактора, вызвавшего анемию. Значительно реже наблюдается присоединение к Гипопластическая анемия пароксизмальной ночной гемоглобинурии, хотя некоторые авторы трактуют в этих случаях Гипопластическая анемия как гипопластическую стадию данной формы гемолитической анемии. Диагноз основывается на наличии панцитопении и бедного ядерными клетками пунктата или трепаната костного мозга при отсутствии увеличения лимф, узлов, селезёнки и печени. Гипопластическая анемия следует дифференцировать главным образом с панцитопениями другого происхождения. Обнаружение в крови молодых клеток белого или красного ряда, даже незначительное увеличение селезёнки всегда должны вызывать сомнение в диагнозе Гипопластическая анемия. В этих случаях можно предположить наличие алейкемических форм лейкозов (смотри полный свод знаний), раковых метастазов в костный мозг, миеломной болезни (смотри полный свод знаний). Диагноз обычно ставят на основании исследования пунктата костного мозга; миеломной болезни, кроме того, присущи характерные изменения белков сыворотки и (или) мочи. Панцитопения при миелофиброзе (смотри полный свод знаний Остеомиелофиброз) сопровождается, в отличие от Гипопластическая анемия, увеличением и миелоидной метаплазией селезёнки. Анемию Аддисона — Бирмера (смотри полный свод знаний Пернициозная анемия) отличает от Гипопластическая анемия наличие глоссита, неврологический нарушений, ахлоргидрии, выраженного мегалобластоза костного мозга, хорошего терапевтического эффекта от витамина В12. Диагноз пароксизмальной ночной гемоглобинурии даже в её ранней, гипопластической, стадии подтверждается положительными результатами сахарозной и кислотной проб (смотри полный свод знаний Гемолитическая анемия). При подостром варианте лимфогранулематоза (смотри полный свод знаний) панцитопения сопровождается лихорадкой, нет резкого лимфоцитоза, в трепанате костного мозга иногда удаётся обнаружить клетки Березовского — Штернберга. Панцитопения вследствие гиперспленизма сопровождается, как правило, увеличением селезёнки. ЛечениеМетодов радикального излечения Гипопластическая анемия не существует, однако лечебный мероприятия способствуют удлинению продолжительности жизни больных. При выявлении этиологического фактора необходимо прекратить дальнейшее его воздействие. Для борьбы с анемией показаны трансфузии крови или эритроцитарной массы; эта мера не должна преследовать цель полной нормализации показателей красной крови — достаточно поддержание их на уровне, совместимом с сердечно-сосудистой компенсацией. Число трансфузий должно быть минимальным для уменьшения опасности трансфузионного сидероза (при переливании 450 миллилитров крови в организм вводится 200—250 миллиграмм железа), гепатита и других осложнений. Во избежание изосенсибилизации антигенами лейкоцитов и тромбоцитов целесообразно переливать отмытые эритроциты. При многократных гемотрансфузиях нередко развитие изосенсибилизации антигенами эритроцитов; в этих случаях кровь для трансфузии подбирают по непрямой пробе Кумбса (смотри полный свод знаний Кумбса реакция). В случае сочетания анемии с геморрагическим диатезом показаны переливания свежецитратной крови или прямые гемотрансфузии в разовой дозе не менее 500 миллилитров. Более выраженным гемостатическим эффектом обладают тромбоцитарные концентраты, получаемые с помощью сепаратора клеток крови от одного донора или путём центрифугирования большого числа доз крови, взятых от различных доноров. Кровоостанавливающее действие тромбоконцентратов проявляется в том случае, если число тромбоцитов у больного удаётся повысить хотя бы до 15 000 —20 000 в 1 микролитров. крови. При многократных переливаниях тромбоцитарных концентратов, особенно полученных из крови разных доноров, неизбежно развивается изосенсибилизация к тромбоцитарным антигенам и отмечается снижение терапевтической эффективности трансфузий. Поэтому желательно в качестве доноров использовать ограниченное число лиц, лучше родственников, максимально совместимых по антигенам системы HL — А (смотри полный свод знаний Группы крови, лейкоцитарные антигены). Среди лекарственных препаратов свойством стимулировать эритропоэз обладают лишь анаболические стероиды (смотри полный свод знаний). Необходимым условием достижения терапевтического эффекта считают длительность применения гормонов в достаточно высокой дозе (например, метилтестостерон или неробол по 1 — 2 миллиграмм на 1 килограмм веса тела в день внутрь в течение 3—4 месяцев) [Мак-Креди (К. В. Mc-Credie), 1969]. Первым проявлением лечебный эффективности препаратов может быть улучшение показателей периферической крови. При появлении признаков побочного действия (задержка жидкости, поражение печени) гормоны отменяют. Для лечения Гипопластическая анемия применяют также кортикостероиды (преднизолон 0,5—1,0 миллиграмм на 1 килограмм веса тела или эквивалентные дозы других стероидов) главным образом с целью гемостатического действия (понижение сосудистой проницаемости); для этого используют и другие, так называемый сосудоукрепляющие средства — аскорбиновую кислоту, рутин, препараты кальция. С целью уменьшения гемосидероза органов и тканей можно назначать препараты типа десферала. Многочисленные попытки пересадки больным донорского костного мозга, предпринимавшиеся без должного иммунологический подбора (только по основным эритроцитарным антигенам), оказались безуспешными, то есть завершились отторжением трансплантата вследствие биол. несовместимости. Случаи подлинной трансплантации немногочисленны. Томас (Е. D. Thomas) с сотрудники (1974) осуществили у четырёх больных Гипопластическая анемия успешную пересадку сингенного костного мозга, полученного от однояйцевых близнецов больных, приведшую к полному выздоровлению; операция проводилась без специальной подготовки ввиду антигенной идентичности реципиентов и доноров. Однако подобная возможность является казуистической. Аллогенные пересадки (от доноров, совместимых по системе Н1—А) требуют сложной подготовки реципиентов для предотвращения отторжения трансплантата (общее облучение или введение циклофосфана с целью иммунодепрессии), а также послеоперационного применения цитостатиков для подавления иммунологический реакции «трансплантат против хозяина» (смотри полный свод знаний Несовместимость иммунологическая). Из 24 больных Гипопластическая анемия, описанных Томасом с сотрудники, 12 прожили свыше 3 месяцев; приживление у них трансплантата было доказано в результате анализа полового хроматина (смотри полный свод знаний). У больных, получивших ранее многочисленные гемотрансфузии, шансы на приживление трансплантата в связи с образованием изоантител снижаются. Сложность методики пересадки костного мозга делает ее доступной лишь для отдельных специализированных учреждений. Вопрос об эффективности спленэктомии окончательно не решён. При выраженных геморрагиях операция противопоказана в связи с высокой летальностью. Вероятно, более целесообразна спленэктомия (смотри полный свод знаний) у больных с повышенной секвестрацией тромбоцитов и эритроцитов в селезёнке, доказанной радиоизотопным методом, и при сохранности очагов нормального кроветворения в костном мозге. ПрогнозПрогностически неблагоприятным признаком считают острое начало болезни. Формы с острым течением обычно устойчивы к терапии и через несколько недель заканчиваются смертью. Чаще течение болезни затяжное, многомесячное и даже многолетнее. Возможно длительное отсутствие клин, проявлений заболевания, однако у больных сохраняются признаки неполноценного костномозгового кроветворения. ПрофилактикаЛица, профессионально связанные с воздействием миелотоксических факторов (источники ионизирующей радиации, бензольное производство), должны находиться под постоянным диспансерным наблюдением. Проведение цитостатического лечения по поводу опухолей и других заболеваний требует регулярного контроля состава крови и своевременного прекращения при угрозе гипоплазии кроветворения. Применение потенциально опасных препаратов, в первую очередь левомицетина (смотри полный свод знаний), должно быть ограничено прямыми показаниями и находиться под контролем состава крови. Профилактика геморрагий при уже развившейся Гипопластическая анемия включает гормональное подавление менструального цикла у женщин с массивными меноррагиями, замену (по возможности) инъекционных лечебный препаратов пероральными, щажение слизистых оболочек (исключение грубой пищи, замена жёстких зубных щёток ватными тампонами). Для предотвращения инфекционных осложнений при глубокой гранулоцитопении (смотри полный свод знаний Лейкопения) рекомендуется подавление кишечной аутофлоры неабсорбируемыми антибиотиками, больных следует содержать в асептических или близких к ним условиях, следить за соблюдением личной гигиены. Гипопластическая анемия у детей. Приобретённые формы Гипопластическая анемия у детей протекают так же, как у взрослых. Наряду с ними в детском возрасте встречаются и некоторые врождённые (конституциональные) формы болезни. Анемия Фанкони (синонимы: синдром Фанкони, врождённая панцитопения). Описана в 1927 год под названием «семейная детская пернициозоподобная анемия». С тех пор опубликовано около 200 наблюдений. Анемия, как правило, выявляется в первые годы жизни, изредка позже. Мальчики болеют в 2 раза чаще девочек. Характерно сочетание панцитопении и гипоплазии костного мозга с другими врождёнными дефектами — коричневой пигментацией кожи в связи с отложением меланина, атрофией почек и селезёнки, отсутствием или недоразвитием 1 пястной или лучевой костей, задержкой умственного, физ. и полового развития, микроцефалией, микроофтальмией. При культивировании лимфоцитов и фибробластов кожи больных выявляются многочисленные хромосомные аберрации. У родственников больных часто отмечают лейкозы. Лечение — назначают систематические переливания крови (эритроцитарной массы). Прогноз неблагоприятный. Семейная гипопластическая анемия Эстрена — Дамешека впервые была описана в 1947 год. Ей свойственны те же изменения со стороны кроветворения, которые наблюдаются при анемии Фанкони, но аномалий развития скелета и внутренних органов не наблюдается. Врождённая парциальная гипопластическая анемия Джозефса — Даймонда — Блекфена описана в 1936 год Джозефсом (W. Н. Josephs) и в 1938 год Даймондом и Блекфеном (L. К. Diamond, К. D. Blackfan). Генетический дефект, лежащий в основе болезни, не выяснен. Развитие болезни у нескольких детей, родившихся от разных матерей, но от одного отца, свидетельствует о доминантном характере наследования. Развёрнутая картина болезни обычно обнаруживается уже на 1-м году жизни: анемия различной степени сочетается с глубокой эритро- и нормобластопенией на фоне уменьшения количества миелокариоцитов (на начальных этапах развития болезни количество миелокариоцитов костного мозга может быть не изменено). У части больных выявляют другие врождённые дефекты (задержка полового и физических развития), но аномалии развития почек не встречаются. Вследствие многократных гемотрансфузий нередко развивается гемосидероз с портальным циррозом печени (смотри полный свод знаний Циррозы печени). Лечение — систематические переливания крови (эритроцитарной массы) в сочетании с кортикостероидными гормонами и витамином В12. При помощи систематических гемотрансфузий удавалось довести больных детей до 8—15 лет, после чего наступало спонтанное улучшение. Смотри также Анемия.
Вас категорически не устраивает перспектива безвозвратно исчезнуть из этого мира? Вы не желаете закончить свой жизненный путь в виде омерзительной гниющей органической массы пожираемой копошащимися в ней могильными червями? Вы желаете вернувшись в молодость прожить ещё одну жизнь? Начать всё заново? Исправить совершённые ошибки? Осуществить несбывшиеся мечты? Перейдите по ссылке: «главная страница».
|
||||||||||||||||||||||||||||||||||||||||||||||||