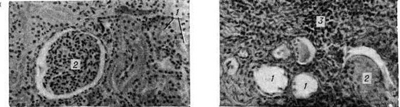
Травматический Гидронефроз развивается вследствие сдавления мочеточника гематомой в результате его повреждения (огнестрельное ранение, разрыв при операциях) с последующим образованием спаек или стриктуры. При всех видах механического затруднения оттока мочи в возникновении Гидронефроз имеют значение и функциональные нарушения лоханочно-мочеточникого сегмента. ПатогенезПри Гидронефроз процесс секреции и реабсорбции мочи сохраняется, но имеет место некоторое отставание эвакуации мочи из лоханки, что обусловливает накопление содержимого и повышение давления в ней. Это даёт право гидронефротическую почку почти всегда считать функционирующим органом, что доказано радиоизотопными исследованиями — из закупоренной почечной лоханки в ток крови реабсорбируются изотопы натрия, йода, коллоидного золота [Перски (L. Persky) с соавторами, 1955]. В начальных стадиях гидронефротической трансформации при стазе мочи в лоханке наступает гипертрофия мускулатуры лоханки и чашечек. Постепенно нарастающая гипертрофия спиральной мускулатуры чашечек приводит к резко повышенному давлению мочи на сосочек и форникальную зону. Это создаёт трудности нормальному выделению мочи из сосочков в почечную лоханку, в некоторой степени компенсируемые уменьшенной секрецией мочи. Однако это относительное равновесие функции почки продолжается недолго. Рабочая гипертрофия мышечных элементов чашечек и лоханки сменяется их истончением и разволокнением, что нарушает отток мочи и приводит к дилатации почечной лоханки и чашечек с последующей атрофией сосочков и почечной паренхимы. Одним из важных моментов в возникновении Гидронефроз является задержка выведения мочи из функционально деятельных участков почки, что наблюдается даже при кратковременных повышениях внутрилоханочного давления. Высокое давление в почечной лоханке вызывается не только поступающей в неё мочой, но и чрезмерным сокращением мускулатуры чашечек, особенно форникального и чашечного сфинктеров. А. Я. Пытель (1959) придаёт большое значение мышечной системе чашечек и лоханки в оттоке мочи по собирательным канальцам и межтканевой жидкости. Уже спустя 24 часа после закрытия просвета мочеточника начинается атрофия почечных пирамид вследствие сдавления их трансфорникальным отёком, сосочки постепенно уплощаются. Через 6—10 дней атрофия пирамид достигает большей степени, сосочки становятся вогнутыми. Наряду с деформацией форниксов происходит расширение просвета собирательных канальцев, облегчающее поступление мочи из лоханки в тубулярную систему. При полной окклюзии мочеточника происходят множественные форникальные разрывы, в результате чего создаётся рефлюкс мочи в почечное интерстициальное пространство, в кровеносную или лимфатические, систему. Повышенное внутри-паренхиматозное давление нарушает кровоток в сосудах мозгового вещества почки, что приводит к атрофии пирамид. Сдвиги кровообращения в кортикальных и медуллярных капиллярах сопровождаются изменениями кровообращения в паренхиме и тканевом обмене, а также кислородным голоданием, способствующими тотальной атрофии коркового вещества почки. Кьяудано (М. Chiaudano, 1958), Н. А. Лопаткин (1960) полагают, что гидронефротическая трансформация протекает по двум фазам: в первой атрофируется мозговое вещество, во второй — корковое. Наступающие изменения кровеносной системы почки, чашечек постепенно приводят к тотальному Гидронефроз Большая роль в патогенезе Гидронефроз принадлежит нарушениям эластической мембраны внутрипочечных сосудов, а также лимфатические, системе. Вследствие повышения проницаемости капилляров развивается отёк и компенсаторное расширение лимфатические, сосудов, участвующих в резорбции мочи, с последующим нарушением лимфообращения. В терминальной стадии гидронефротической трансформации после атрофии форниксов резорбция гломерулярного фильтрата происходит путём тубуловенозного рефлюкса. Таким образом, лоханочно-почечный рефлюкс (смотри) имеет безусловное значение при развитии Гидронефроз. Эти компенсаторные механизмы приводят к снижению давления мочи и способствуют сохранению почечной секреции на длительное время. Патологическая анатомия. Морфологически изменения при Гидронефроз зависят в первую очередь от стадии болезни. В начальных стадиях почка (независимо от внутри- или внепочечной локализации лоханки) мало отличается от здоровой. В основном патологический изменения выражены в чашечках и лоханке. Под действием повышенного внутрилоханочного давления увеличивается ёмкость чашечек и в значительной степени изменяется их конфигурация — они становятся круглыми, шейка их укорачивается и увеличивается в поперечном размере. Подобная картина чаще наблюдается при внутрипочечном расположении лоханки; она носит название гидрокаликоз (расширение одной или нескольких чашечек). Одновременно с увеличением размеров чашечек нарастает ёмкость лоханки; это происходит быстрее при внепочечном её расположении. Таким образом, к гидрокаликозу присоединяется и пиелоэктазия, а при низких локализациях препятствий развивается гидроуретеронефроз. Стенка лоханки постепенно истончается вследствие прогрессирующей атрофии гладких мышечных волокон и замены их соединительной тканью; погибают нервные окончания; облитерируются кровеносные и лимфатические, сосуды лоханки. Существует параллелизм между длительностью существования препятствия оттоку мочи и степенью нарушения нервно-мышечного тонуса лоханки. В терминальной стадии Гидронефроз лоханка представляет дряблый тонкостенный мешок, стенки которого в основном состоят из грубоволокнистой соединительной ткани. Прогрессивно растягивающаяся лоханка оттесняет почечную паренхиму к периферии, сдавливает форникальные вены и артериолы. В почечной паренхиме постепенно развиваются явления атрофии и склероза (рисунок 2), позже почка превращается в соединительнотканный мешок с отдельными остатками нормальной ткани. Наблюдаются и различные изменения сосудов почки — артерии становятся извитыми, удлинёнными, расширенными. Артериография удалённых почек и прижизненная серийная ангиография позволили обнаружить сужения магистральной почечной артерии, облитерацию и запустевание её ветвей. При этом, чем глубже выражена атрофия почки, тем уже их просвет, тем дальше отстоят ветви одна от другой (Н. A. Лoпаткин, 1961). В этой стадии Гидронефроз почка бывает резко увеличена в размерах, корковый слой её очень тонкий (цветной рисунок 1 и 2). Клиническая картинаВ течении гидронефроза принято выделять три стадии: I — начальную, II — раннюю, III — терминальную. Гидронефроз часто развивается бессимптомно и проявляется при вспышке инфекции, травме или случайно обнаруживается при пальпации брюшной полости. Симптомов, характерных только для Гидронефроз, нет. Наиболее часты боли в поясничной области разной интенсивности, постоянного ноющего характера, а в ранней стадии — в виде приступов почечной колики. Приступы сопровождаются тошнотой, рвотой и вздутием живота. Часто больные отмечают уменьшение количества мочи перед приступами и во время них и увеличение после разрешения приступа. В далеко зашедших стадиях Гидронефроз острые боли не характерны. Повышение температуры во время приступов боли может быть только при инфицированном Гидронефроз, что объясняется возникновением пиеловенозного рефлюкса. Важным симптомом при большом Гидронефроз является прощупываемое в подреберье опухолевидное образование. Гематурия (микро- и макроскопическая) — нередкий, иногда единственный симптом. В терминальной стадии заболевания функция почки резко нарушается. Явления почечной недостаточности появляются главным образом при двустороннем процессе. Осложнения — присоединение инфекции, образование вторичных камней и разрыв гидронефротического мешка при травме. ДиагнозПальпацией удаётся распознать Гидронефроз лишь в поздних стадиях. Хромоцистоскопия (смотри) является вспомогательным методом, позволяющим заподозрить Гидронефроз и судить о секреторной функции почечной паренхимы и о моторной функции лоханки и мочеточника. При Гидронефроз индигокармин на больной стороне выделяется с запозданием и вялой, слабо окрашенной струёй или вовсе не выделяется. Для более точного суждения о секреторной функции почки рекомендуется хромоцистоскопия с катетеризацией мочеточника, что даёт возможность судить о его проходимости и локализации в нем препятствия, о наличии и количестве остаточной мочи в лоханке; кроме того, представляет возможность получить мочу раздельно из каждой почки. Основная роль в диагностике Гидронефроз принадлежит рентгенологическое методам. Обзорная рентгенография позволяет определить размеры почки и иногда обнаружить камни. На экскреторной урограмме, произведённой через 10 минут после введения контрастного вещества в вену, выявляются слабо очерченные тени полостей почки вследствие большого разведения препарата остаточной мочой, содержавшейся в лоханке. Затем происходит накопление контрастного вещества (вследствие нарушения эвакуации мочи), и снимок (через 20 минут после первого) показывает изображение расширенных чашечек и лоханки. При значительных изменениях паренхимы накопление контрастного вещества замедляется и становится заметным на урограмме лишь через 1 — 2 часа после введения его в вену, а при резкой атрофии почки препарат не выделяется вовсе; в не которых случаях это может зависеть и от угнетения деятельности почки вследствие острой обтурации мочевых путей. Изображения на урограммах при Гидронефроз имеют разнообразную форму — от умеренной пиелоэктазии до большой круглой или овальной полости с резко расширенными чашечками; полости с чёткими ровными краями, что отличает Гидронефроз от пионефроза. На уретерограмме видны зоны стриктур, перегибов, атоничные мочеточники, а также обтекаемые контрастным веществом препятствия в нем, например, камни, опухоль. Поперечный перерыв тени в области лоханочно-мочеточникового сегмента характерен для клапана, добавочного сосуда (рисунок 3). Ретроградную пиелографию (смотри) при больших Гидронефроз в связи с опасностью тяжёлых осложнений целесообразно производить в день операции. После пиелографии в этих случаях необходимо извлекать катетер через 30—60 минут после опорожнения лоханки от мочи. В других случаях дренирование лоханки обеспечивает отток мочи и предотвращает возможность осложнений. Анализ мочи, раздельно взятой из почек, и бактериологических исследование её с определением чувствительности микрофлоры к антибиотикам при инфицированном Гидронефроз дополняют клинической, диагностику. Селективную артериографию (рисунок 4) для диагностики Гидронефроз производят сравнительно редко с целью уточнения стадии процесса изучения сосудистого рисунка почки, а также выявления добавочного сосуда (смотри Почечная ангиография). Изредка применяют чрескожную пункционную антеградную пиелографию (рисунок 5). Радиоизотопная ренография существенно дополняет рентгено л. исследование, особенно при двустороннем Гидронефроз, когда удаётся выявить сторону наибольшего поражения (смотри Ренография радиоизотопная). Дифференциальный диагноз проводят с различными заболеваниями почек и органов брюшной полости. При Гидронефроз, протекающем с болевым синдромом, следует дифференцировать Гидронефроз с нефролитиазом (смотри Мочекаменная болезнь), нефроптозом (смотри). Обзорная рентгенография или пневмопиелография подтверждает или исключает нефролитиаз. При нефроптозе боли возникают главным образом при движениях и физических напряжениях и быстро стихают в горизонтальном положении. Если при пальпации обнаружена опухоль, необходимо решить, расположена ли она в забрюшинном пространстве или в брюшной полости. Это достигается урографией (смотри) и введением газа в забрюшинное пространство (смотри Пневморетроперитонеум). В отличие от Гидронефроз, опухоль почки малоподвижна, плотна, бугриста. На пиелограмме характерны деформация лоханки или «ампутация» чашечек (дефекты наполнения). При поликистозе обе почки увеличены, бугристы; отмечаются явления почечной недостаточности; типична и пиелограмма — удлинённая лоханка и вытянутые в виде полулуний чашечки. Солитарной кисте почки свойственно сдавление полостей чашечек и лоханки, видимое на пиелограмме. Лечение должно быть направлено на устранение причины, вызвавшей развитие Гидронефроз, и сохранение почки. Среди различных методов хирургического лечения наиболее распространены пластические.
Показанием к пластическим операциям являются те стадии одно- и двустороннего Гидронефроз, при которых функция паренхимы в достаточной степени сохранена, а причина, вызвавшая болезнь, может быть устранена. Из множества способов оперативного лечения при Гидронефроз, возникших на почве изменений в области лоханочно-мочеточникового сегмента, чаще всего применяют операцию Фенгера, которая заключается в продольном рассечении стриктуры мочеточника или лоханочно-мочеточникового сегмента и сшивании в поперечном направлении (рисунок 6). Распространена и операция по Фолею — создание воронкообразного расширения прилоханочного отдела мочеточника (рисунок 7). Обязательным условием пластических операций является дренирование лоханки, сохраняемое в послеоперационном периоде от 12 до 30 дней; удаление дренажа допустимо лишь после восстановления свободного оттока мочи по мочеточнику. Условия «конечного» кровоснабжения почки ограничивают рассечение «добавочного сосуда». Высвобождение из спаек сосуда и лоханочно-мочеточникового сегмента, перемещение мочеточника антевазально с последующим пиелоанастомозом изменяют соотношения между сосудом и сегментом, в результате чего сосуд оказывается позади его. Наиболее широкое распространение по этим показаниям получили операции Альбаррана и Калпа — де Верда. Операция Альбаррана состоит в продольном рассечении мочеточника, начиная с неизменной части, с переходом через стриктуру на лоханку и наложении пиелоуретрального анастомоза (рисунок 8). Операция Калпа — де Верда заключается в выкраивании большого лоскута на ножке из лоханки, перемещении его на мочеточник, благодаря чему формируется новый сегмент мочеточника с большим просветом (рисунок 9). При внутрипочечной лоханке, создающей неблагоприятные условия для выполнения одной из перечисленных операций, целесообразно применить операцию уретерокаликоанастомоза (рисунок 10). Пластические операции иногда дополняют дупликацией почки, иногда с использованием различных тканей и синтетических материалов. К нефрэктомии (смотри) следует прибегать при таком одностороннем Гидронефроз, когда атрофия паренхимы выражена в резкой степени и функция почки глубоко изменена. Оставлять такую почку опасно из-за осложнений. Абсолютно противопоказана нефрэктомия в тех случаях, когда и вторая почка поражена каким-либо патологический процессом. Пиелостомия (смотри) и нефростомия (смотри) при Гидронефроз имеют ограниченные показания и применяются как самостоятельные операции в тех случаях, когда невозможно восстановить отток мочи в мочевой пузырь. Прогноз зависит от стадии процесса, его этиологии, состояния другой почки. В начальных стадиях одностороннего Гидронефроз, особенно если его причиной является «добавочный сосуд», оперативное вмешательство способствует выздоровлению и восстановлению нормальной функции почки. Отягощают прогноз пиелонефрит, двусторонние поражения, а также другие заболевания второй почки; но и в этих случаях комплексное лечение (противовоспалительная терапия и операция) позволяет длительно сохранять трудоспособность пациента. Гидронефроз у детей может быть не только врождённым заболеванием, но и приобретённым. Этиология — нарушение пассажа мочи из-за механического препятствия в области лоханочно-мочеточникового сегмента, вызванного врождёнными пороками развития («добавочный сосуд», сужение прилоханочного отдела мочеточника, перегиб и спайки его или клапан слизистой оболочки). Некоторое значение имеет недоразвитие мышечного слоя лоханки и ахалазия мочеточника [Гидронефроз А. Баиров, 1969; Экстайн, Камал (Н. Eckstein, I. Kamal), 1971]. Морфологические особенности — огромные размеры гидронефротической почки, причём шаровидная и растянутая лоханка по объёму превышает атрофичную почку; частое внепочечное расположение напряжённой лоханки. Процесс гидронефротической трансформации зависит от нарушения внутриорганного кровообращения под влиянием резкого повышения внутрипочечного давления. Редуцированное кровообращение способствует быстрому присоединению вторичной инфекции. Клиническая картинаВ периоде новорожденности и грудном возрасте преобладают симптомы со стороны желудочно-кишечного тракта (беспокойство, рвота, неустойчивый стул, увеличение живота и другие); отмечается отставание в физических развитии. У детей до 3—5 лет наиболее важным симптомом является лейкоцитурия, носящая хронический характер; она обычно служит признаком вторичного пиелонефрита. У детей более старшего возраста Гидронефроз чаще проявляется постоянными болями в животе или почечной коликой. Реже наблюдается микро- и макрогематурия, которая может быть результатом камнеобразования. При двустороннем Гидронефроз, осложнённом пиелонефритом, или поражении солитарной почки могут появляться симптомы почечной недостаточности. Диагностика основана на тщательном сборе анамнеза, пальпации живота, лабораторных исследованиях мочи с использованием метода Каковского — Аддиса (смотри Каковского — Аддиса метод). Однако решающим этапом диагностики является экскреторная урография и инфузионная нефрография. Если функциональная способность почек снижена, делают отсроченные рентгенограммы через 1—2 и даже 4—6 часов. При сохранении выделительной функции на рентгенограмме появляются округлые, «монетообразные» почечные чашечки и тень резко расширенной лоханки. Характерным рентгенологическое симптомом прилоханочной структуры мочеточника является отсутствие его заполнения. Изображение лоханки резко обрывается, и эвакуация из неё не прослеживается. При отсутствии выделительной способности больной почки («немая почка») можно прибегнуть к ретроградной пиелографии. Более опасным методом является антеградная чрескожная пиелография, ввиду чего она допустима только непосредственно перед операцией. От сканирования лучше отказаться и применить радио- изотопную ренографию. Лечение проводят путём хирургической коррекции порока. Нефрэктомии показана только при полной потере выделительной функции почки. Большинство авторов считает наиболее эффективным вмешательством при врождённом Гидронефроз у детей резекцию пиелоуретерального сегмента и атоничной лоханки с последующим наложением широкого анастомоза в пределах здоровых тканей [Е. А. Остропольская, 1969; С. Я. Долецкий, В. Т. Кондаков, 1972; А. Гидронефроз Пугачёв, 1972; Джонстон, Кейтел (J. Johnston, В. Kathel), 1972]. Операцию заканчивают «интубацией» анастомоза тонкой полихлорвиниловой трубкой на 5—6 дней для разгрузки лоханки и шинирования мочеточника. При несоответствии между огромными размерами почки и тонким мочеточником, а также наличии воспалительного процесса показано введение дополнительного нефростомического дренажа, который извлекают на 8—10-й день. Двусторонний Гидронефроз требует особой тактики — сначала производят корригирующую операцию на более поражённой почке, а через 4—6 недель на второй, что способствует более полному восстановлению их функции. При нефрэктомии необходимо полное удаление мочеточника, так как оставленная у ребёнка длинная культя его в дальнейшем растёт, превращаясь в дивертикул мочевого пузыря. ПрогнозОтдалённые результаты после своевременно произведённой корригирующей операции у детей хорошие.
Вас категорически не устраивает перспектива безвозвратно исчезнуть из этого мира? Вы не желаете закончить свой жизненный путь в виде омерзительной гниющей органической массы пожираемой копошащимися в ней могильными червями? Вы желаете вернувшись в молодость прожить ещё одну жизнь? Начать всё заново? Исправить совершённые ошибки? Осуществить несбывшиеся мечты? Перейдите по ссылке: «главная страница».
|
||||||||||||||||||||||||||||||||||||||||||