Фиброзная остеодисплазия

Оглавление

  1. Дорога к бессмертию
  2. Бессмертие и религия
  3. Философия бессмертия
  4. Бессмертие и наука
  5. История анабиоза
  6. Смерть
  7. Кора головного мозга
  8. Бессмертие и анабиоз
  9. Анабиоз, медицина и биология
  10. Анабиоз и экономика
  11. Анабиоз и закон
  12. Анабиоз в Антарктиде
  13. Техническое обеспечение анабиоза
  14. Бессмертие и вера
  15. Библиотека Ordo Deus
  16. Контактная страница Ordo Deus

Фиброзная остеодисплазия

Фиброзная остеодисплазия (osteodysplasia fibrosa; синонимы: фиброзная дисплазия костей, болезнь Лихтенстайна — Брайцева, дисплазия Яффе — Лихтенстайна) — порок развития костной системы, в основе которого лежит нарушение окостенения, приводящее к деформации костей.

Впервые выделена в самостоятельную нозологическую форму в 1938 год американский учёным Л. Лихтенстайном под названием полиостотическая фиброзная дисплазия.

В настоящий, время большинством исследователей признано, что Фиброзная остеодисплазия вязана с нарушением нормального окостенения скелета в период эмбрионального развития. По мнению Т. П. Виноградовой (1960), Фиброзная остеодисплазия относится к группе процессов, пограничных с доброкачественными опухолями. Способность рецидивировать после удаления и подвергаться малигнизации подтверждает эту точку зрения и позволяет рассматривать Фиброзная остеодисплазия как предопухолевое состояние. По данным М. В. Волкова (1974), среди новообразований и дисплазий скелета, наблюдаемых в детском возрасте, Фиброзная остеодисплазия составляет 8,5%.

В соответствии с числом вовлечённых в патологический процесс костей различают монооссальную и полиоссальную формы Фиброзная остеодисплазия Патологический изменения чаще возникают и в большей степени проявляются в челюстях (смотри полный свод знаний: Фиброзная остеодисплазия челюстей), в проксимальных отделах конечностей.

Нижние конечности поражаются чаще, чем верхние. Из плоских костей при Фиброзная остеодисплазия страдают преимущественно передние отделы свода черепа и подвздошные кости. В длинных трубчатых костях процесс, как правило, локализуется в метафизах, откуда распространяется на диафиз. Зона эпифизарного хряща является своеобразным барьером для Фиброзная остеодисплазия В редких случаях эпифизы поражаются первично, чаще же в них находят вторичные неспецифические изменения — остеопороз и деформацию.

Патологическая анатомия. Характер патологоанатомических изменений при Фиброзная остеодисплазия не зависит от формы заболевания. Поражённые отделы костей деформированы, утолщены, длинные трубчатые кости нередко изогнуты. На распиле костей обнаруживают различной величины и формы очаги белёсой плотной ткани, обычно содержащей мелкие костные включения. В ряде случаев происходит почти полное замещение кости этой тканью. Над очагами Фиброзная остеодисплазия пластинка компактного (коркового) вещества истончена, на отдельных участках прерывается; в толще патологический ткани располагаются кисты, содержащие прозрачную жидкость.

При микроскопическом исследовании поражённых отделов костей обнаруживается волокнистая соединительная ткань, представленная коллагеновыми, ретикулиновыми волокнами и фибробластоподобными клетками, среди которых располагаются примитивные костные балки, распределяющиеся бессистемно (рисунок 1). Нередко периферические отделы костных балок состоят из остеоидной ткани, реже балки целиком состоят из этой ткани. Иногда формирующиеся костные структуры крайне примитивны и имеют вид более или менее обособленных сгущений коллагеновых волокон без отложения в них солей кальция. Эти структуры рассматривают как предстадию образования костных балок. У разных больных и в различных очагах Фиброзная остеодисплазия одного и того же больного и даже в разных участках одного очага гистологический картина может быть неодинаковой. Она различается по характеру костных структур, количественному соотношению этих структур с волокнистой тканью, морфологии клеток и плотности расположения волокон. У некоторых больных в патологический очагах или их участках развивается более или менее густая сеть костных балок, иногда напоминающая губчатую остеому (смотри полный свод знаний). Среди волокон соединительной ткани встречаются скопления остеокластов; изредка обнаруживаются участки типа остеобластокластомы (смотри полный свод знаний), иногда выявляются скопления ксантомных клеток (смотри полный свод знаний: Ксантома).

Клиническая картина разнообразна и зависит от формы Фиброзная остеодисплазия, локализации процесса и распространённости костных поражений. Больные жалуются на боли при ходьбе, интенсивность которых усиливается при прогрессировании патологический процесса. Нередко первым признаком заболевания являются повторяющиеся патологический переломы. Наиболее частый признак Фиброзная остеодисплазия— деформация кости от едва заметного её искривления до значительного изгиба целого сегмента конечности.

Отдельные кости подвергаются характерной деформации (рисунок 2). При локализации очага Фиброзная остеодисплазия в проксимальном конце бедра оно приобретает вид пастушьей палки с изгибом выпуклостью кнаружи, большой вертел поднимается вверх на уровень тела подвздошной кости; развивается варусная деформация бедра. Голени при их поражении изгибаются чаще кнаружи и кпереди. Плечевые кости булавовидно утолщаются в проксимальных отделах. Поражение костей таза сопровождается деформацией тазового кольца, позвонков, рёбер, грудной клетки. Поражение костей черепа и их деформация вызывают асимметрию и обезображивание лица, вторичные нарушения зрения и слуха, головные боли, экзофтальм (смотри полный свод знаний). Деформации костей усугубляются неправильно сросшимися патологический переломами. Почти постоянным симптомом Фиброзная остеодисплазия костей нижней конечности является хромота (смотри полный свод знаний), от лёгкого прихрамывания до выраженного нарушения походки. Функциональная неполноценность конечности сопровождается атрофией мягких тканей, вторичными деформациями суставов, позвоночника.



Информация об Ordo Deus Перейти в оглавление сайта

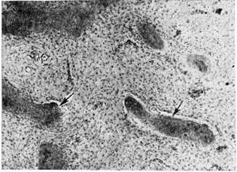
Рис. 1.
Микропрепарат участка ткани из патологического очага при фиброзной остеодисплазии: волокнистая соединительная ткань с единичными бессистемно расположенными примитивными костными балками (указаны стрелками); окраска гематоксилин-эозином, ×105.





Информация об Ordo Deus Перейти в оглавление сайта

Рис. 2.
Больной с поражением и характерной деформацией нижних конечностей при полиоссальной фиброзной остеодисплазии:. проксимальный отдел левого бедра имеет варусную деформацию, большой вертел поднят до уровня тела подвздошной кости; вальгусная деформация в правом коленном суставе.



Полиоссальная форма Фиброзная остеодисплазия часто сочетается с патологический кожной пигментацией (пятна различной величины и формы всех оттенков коричневого цвета), ранним половым созреванием (смотри полный свод знаний), гипертиреозом (смотри полный свод знаний: Тиреотоксикоз). Костные изменения, пигментация кожи и преждевременное половое созревание у женщин — триада признаков, известных как синдром, или болезнь, Олбрайта (смотри полный свод знаний: Псевдогипопаратиреоз). Прогрессирование Фиброзная остеодисплазия заканчивается с половым созреванием.

Диагноз устанавливают на основании клинические, картины и типичных рентгенологическое данных. Ведущими рентгенологическое признаками Фиброзная остеодисплазия являются очаг разрежения и зона диффузного просветления костной ткани. В соответствии с этим принято различать две рентгенологическое формы Фиброзная остеодисплазия: очаговую и диффузную. Граница между ними, однако, не всегда отчётлива, возможны смешанные формы.

При очаговой форме Фиброзная остеодисплазия обнаруживают участки ограниченного просветления костной ткани, располагающиеся эксцентрически в области коркового (компактного) вещества кости. Первоначально возникающие узлы чётко отграничены друг от друга скорлупообразной уплотнённой полоской костной ткани. По мере развития заболевания размеры очагов увеличиваются; обнаруживается истончение коркового вещества, которое приобретает неровные серповидные или фестончатые очертания. Кость как бы вздувается изнутри, становится бугристой. Иногда выявляют одновременно несколько изолированных очагов Фиброзная остеодисплазия, которые нечётко отграничены друг от друга, но все же сохраняют относительную самостоятельность; при этом кость приобретает крупноячеистый вид (рисунок 3). Корковое вещество её резко истончается за счёт эндостальной резорбции. Поперечник кости на значительном протяжении неравномерно утолщается. В некоторых случаях очаги Фиброзная остеодисплазия определяются в виде отдельных гнездных образований, разбросанных по длиннику кости среди неизменённой или малоизменённой, в основном склерозированной, костной ткани. Структура очагов может быть различной. Часто они имеют вид гомогенных просветлений, реже — мелкоячеистую, ноздреватую структуру, иногда содержат отдельные участки уплотнения, обызвествления или окостенения в виде неправильно сформированных костных балок. Локализация, размеры и количество очагов изменяются в процессе роста и развития костно-суставного аппарата; наблюдается тенденция к их слиянию, смещение к середине диафиза. При стабилизации заболевания рентгенологическое картина длительное время сохраняется неизменной.



Информация об Ordo Deus Перейти в оглавление сайта

Рис. 3.
Рентгенограмма дистальной трети голени больного с очаговой формой фиброзной остеодисплазии большеберцовой кости (прямая проекция): чётко отграниченный крупный ячеистый дефект костной ткани с истончённым над ним корковым слоем.





Информация об Ordo Deus Перейти в оглавление сайта

Рис. 4.
Рентгенограмма бедренной кости (прямая проекция) больного с диффузной формой фиброзной остеодисплазии: отмечается значительная варусная деформация проксимального отдела бедренной кости; бедренная кость утолщена, имеет крупноячеистую структуру с костными перемычками.



При диффузной форме Фиброзная остеодисплазия поражается вся толща кости. Нередко определяются различные угловые и дугообразные деформации костей. Наиболее часто выявляют варусную деформацию шейки бедренной кости (рисунок 4), варусную или вальгусную деформацию в коленном суставе. В местах наибольшего напряжения искривлённых костей могут определяться зоны дистрофической перестройки (смотри полный свод знаний: Лоозера зоны) и патологический переломы.

Характерные патологический изменения выявляются в губчатом веществе и костномозговой полости. Пластинка коркового вещества неровная, фестончатая, истончённая. Объем кости увеличивается. Участки однородной мягкой фиброзной массы отображаются на рентгенограмме в виде равномерного просветления. На этом фоне скопления остеоидной ткани обусловливают более плотные тени. Области плотных остеоидных полей с наличием мелкоточечных элементов обызвествления и оссификации имеют весьма характерную для Фиброзная остеодисплазия структуру, напоминающую матовое стекло. В очагах Фиброзная остеодисплазия могут выявляться кистозные полости. Рентгенологические исследование обнаруживает динамику их образования: вначале увеличение размеров участка фиброза, затем переход его в очаговый остеопороз и, наконец, формирование истинной кистозной полости. Наряду с просветлением костной ткани при Фиброзная остеодисплазия наблюдаются участки уплотнения кости. Они располагаются преимущественно субкортикально, нередко по всему диафизу, но иногда ограниченно, в виде локального внедрения языкоподобных полос. Особенностью рентгенологическое признаков поражения костей черепа является преобладающее развитие остеосклероза (смотри полный свод знаний) и гиперостоза (смотри полный свод знаний). Избыточное разрастание неполноценной костной ткани сочетается с уменьшением полости черепа, сужением глазницы и других жизненно важных пространств черепа.

Диагноз полиоссальной формы Фиброзная остеодисплазия в большинстве случаев не вызывает сомнений. Дифференциальный диагноз проводят с хондродисплазией (смотри полный свод знаний), паратиреоидной остеодистрофией (смотри полный свод знаний), болезнью Хенда — Шюллера — Крисчена (смотри полный свод знаний: Хенда — Шюллера — Крисчена болезнь). Монооссальную форму Фиброзная остеодисплазия дифференцируют с дистрофическими, опухолевыми, воспалительными процессами в костях (костная киста, остеобластокластома, туберкулёзный остит).

Лечение больных с монооссальной формой Фиброзная остеодисплазия оперативное; все виды консервативного лечения неэффективны. Показанием к операции являются боль, выраженные деформации, прогрессирование процесса, угроза патологический перелома. Раннее оперативное вмешательство (в возрасте 3—4 лет) улучшает прогноз, предупреждает развитие деформаций, укорочение конечности. В зависимости от локализации и распространённости процесса производят поднадкостничную краевую или сегментарную резекцию поражённого отдела кости с замещением образовавшегося дефекта костным трансплантатом (смотри полный свод знаний: Костная пластика). Для пластики дефекта применяют ауто или аллотрансплантаты в виде мелких, крупных или тонких пластин коркового вещества. При резкой деформации бедренной, большеберцовой костей аллопластику сочетают с корригирующей остеотомией (смотри полный свод знаний) и накостной фиксацией металлической пластиной. При укорочении конечности удлинение кости с помощью дистракционно-компрессионного аппарата (смотри полный свод знаний: Дистракционно-компрессионные аппараты). Ортопедические аппараты (смотри полный свод знаний) и ношение специальной обуви (смотри полный свод знаний: Обувь, ортопедическая обувь) в комплексе с активной реабилитационной терапией в послеоперационном периоде (массаж, лечебный гимнастика) создают условия для нормализации статики, способствуют быстрой и правильной перестройке кости.

При полиоссальной форме Фиброзная остеодисплазия лечение такое же. Однако множественность поражения ограничивает возможности применения оперативных вмешательств.

Прогноз для жизни в большинстве случаев благоприятный. Однако иногда, как при полиоссальной, так и при монооссальной Фиброзная остеодисплазия, наступает малигнизация с развитием остеогенной саркомы (смотри полный свод знаний) или фибросаркомы (смотри полный свод знаний). Прогноз в отношении функции конечности зависит от формы заболевания и особенностей его течения. Больные с полиоссальной формой Фиброзная остеодисплазия должны быть ориентированы на приобретение профессий, не связанных с тяжёлым физическим трудом, длительным стоянием, ходьбой.

Смотри полный свод знаний: Фиброзная остеодисплазия челюстей.

Королюк И.П.; Самойлова Л.И.; Ягодовский В.С.

⇐ Перейти на главную страницу сайта

⇑ Вернуться в начало страницы ⇑

Библиотека Ordo Deus ⇒

⇐ Фиброзит

⇓ Полный свод знаний. Том первый А. ⇓

Фиброзная остеодисплазия челюстей ⇒

Все статьи в полном изложении, Вы можете найти в большой медицинской энциклопедии — Главный редактор: академик АН СССР (РАН) и АМН СССР (РАМН) Б.В. Петровский. — Москва издательство «Советская энциклопедия» 1989г.

Внимание! Вы находитесь в библиотеке «Ordo Deus». Все книги в электронном варианте, содержащиеся в библиотеке «Ordo Deus», принадлежат их законным владельцам (авторам, переводчикам, издательствам). Все книги и статьи взяты из открытых источников и размещаются здесь только для чтения.

Вся информация на сайте Ordo Deus находится в свободном доступе. Ordo Deus не предоставляет информацию на платной основе.

Все авторские права сохраняются за правообладателями. Если Вы являетесь автором данного документа и хотите дополнить его или изменить, уточнить реквизиты автора, опубликовать другие документы или возможно вы не желаете, чтобы какой-то из ваших материалов находился в библиотеке, пожалуйста, свяжитесь с нами по e-mail:
info @ ordodeus. ru
Формы для прямой связи с нами находятся в нижней части страниц: контакты и устав «Ordo Deus», для перехода на эти страницы воспользуйтесь кнопкой контакты вверху страницы или ссылкой в оглавлении сайта.

Вас категорически не устраивает перспектива безвозвратно исчезнуть из этого мира? Вы не желаете закончить свой жизненный путь в виде омерзительной гниющей органической массы пожираемой копошащимися в ней могильными червями? Вы желаете вернувшись в молодость прожить ещё одну жизнь? Начать всё заново? Исправить совершённые ошибки? Осуществить несбывшиеся мечты? Перейдите по ссылке: «главная страница».

© Ordo Deus, 2010. При копировании ссылка на сайт http://www.ordo-deus.ru обязательна.