Фибросаркома

Оглавление

  1. Дорога к бессмертию
  2. Бессмертие и религия
  3. Философия бессмертия
  4. Бессмертие и наука
  5. История анабиоза
  6. Смерть
  7. Кора головного мозга
  8. Бессмертие и анабиоз
  9. Анабиоз, медицина и биология
  10. Анабиоз и экономика
  11. Анабиоз и закон
  12. Анабиоз в Антарктиде
  13. Техническое обеспечение анабиоза
  14. Бессмертие и вера
  15. Библиотека Ordo Deus
  16. Контактная страница Ordo Deus




Фибросаркома

Фибросаркома (fibrosarcoma; латынь fibra волокно + саркома) — злокачественная опухоль, развивающаяся из фибробластов.




Фибросаркома составляет около 12% всех сарком мягких тканей туловища и конечностей. Опухоль встречается в любой возрастной группе, но чаще наблюдается в возрасте от 40 до 70 лет, может быть врождённой. Более чем в половине случаев Фибросаркома локализуется на нижних конечностях, главным образом на бедре, значительно реже она располагается на верхних конечностях и туловище. У детей Фибросаркома чаще располагается в дистальных отделах конечностей, преимущественно в области лодыжек и стоп. Обычно Фибросаркома является глубоко залегающей опухолью, связана с фасциальными структурами и мышцами, часто располагается вблизи крупных сосудов и нервов, особенно при локализации на бедре.

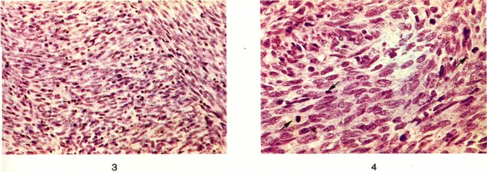
Макроскопически она, как правило, имеет форму плотного округлого или дольчатого узла, чётко отграниченного от окружающих тканей, серовато-белого цвета на разрезе, более 5 сантиметров в диаметре. В псевдокапсуле опухоли обнаруживаются признаки её инвазивного роста. Фибросаркома образована главным образом мономорфными веретенообразными фибробластоподобными клетками с гиперхромными овальными или продолговатыми ядрами и скудной эозинофильной цитоплазмой. Клетки располагаются в волокнистой основе, формируя беспорядочно переплетающиеся пучки, часто образующие рисунок ёлочки (цветной рисунок 3). Всегда обнаруживаются фигуры митозов, иногда довольно многочисленные (цветной рисунок 4). Полиморфизм клеток не характерен для Фибросаркома и, как правило, бывает выражен слабо. В зависимости от дифференцировки опухоли Причард (D. J. Pritchard) и соавторами (1974) выделили 4 степени фибросаркомы. По данным этих исследователей, в 39,2% случаев встречаются более дифференцированные фибросаркомы (I и II степени) и в 60,8% — менее дифференцированные (III и IV степени).

Для Фибросаркома характерно появление опухоли, которая увеличивается в размере, а также боль. Примерно в 20% случаев возникновению опухоли предшествует травма. Метастазы, главным образом гематогенные (прежде всего в лёгкие), наблюдаются примерно в половине случаев.

Лечение комбинированное. Оперативное лечение заключается в широком иссечении опухоли, а при выраженном местном распространении и повторных рецидивах может быть произведена ампутация (смотри полный свод знаний) или экзартикуляция (смотри полный свод знаний) конечности. Используются предоперационная и послеоперационная лучевая терапия (смотри полный свод знаний), применяют различные варианты химиотерапии (смотри полный свод знаний: Химиотерапия опухолей).

По данным Причарда и соавторами (1974), рецидивы опухоли возникают в 56,8% случаев в среднем через 18 месяцев после операции и могут быть многократными; 5-летняя выживаемость составляет 41%, 10-летняя — 29%. Отмечена отчётливая корреляция между степенью дифференцировки опухоли и показателем выживаемости: 10-летняя выживаемость при I степени дифференцировки опухоли составила 80%, II степени — 37%, III степени — 27% и IV степени — 0. У детей Фибросаркома протекает более благоприятно. Так, по данным Соула (Е. Н. Soule) и Причарда (1977), у детей в возрасте до 5 лет рецидивы опухоли наблюдаются в 43%, а метастазы — в 7,3%.





Информация об Ordo Deus Перейти в оглавление сайта

Рис. 3.
Микропрепарат фибросаркомы мягких тканей: видны веретенообразные фибробластоподобные клетки, формирующие вместе с волокнистой основой беспорядочно переплетающиеся пучки; окраска гематоксилин-эозином; ×160. Рис. 4. Тот же микропрепарат (×400): стрелками указаны фигуры митозов в опухолевых клетках.



Смотри полный свод знаний: Саркома.

Блинов В.М.

⇐ Перейти на главную страницу сайта

⇑ Вернуться в начало страницы ⇑

Библиотека Ordo Deus ⇒

⇐ Фиброматозы

⇓ Полный свод знаний. Том первый А. ⇓

Фиброэластоз субэндокардиальный ⇒

Все статьи в полном изложении, Вы можете найти в большой медицинской энциклопедии — Главный редактор: академик АН СССР (РАН) и АМН СССР (РАМН) Б.В. Петровский. — Москва издательство «Советская энциклопедия» 1989г.

Внимание! Вы находитесь в библиотеке «Ordo Deus». Все книги в электронном варианте, содержащиеся в библиотеке «Ordo Deus», принадлежат их законным владельцам (авторам, переводчикам, издательствам). Все книги и статьи взяты из открытых источников и размещаются здесь только для чтения.

Вся информация на сайте Ordo Deus находится в свободном доступе. Ordo Deus не предоставляет информацию на платной основе.

Все авторские права сохраняются за правообладателями. Если Вы являетесь автором данного документа и хотите дополнить его или изменить, уточнить реквизиты автора, опубликовать другие документы или возможно вы не желаете, чтобы какой-то из ваших материалов находился в библиотеке, пожалуйста, свяжитесь с нами по e-mail:
info @ ordodeus. ru
Формы для прямой связи с нами находятся в нижней части страниц: контакты и устав «Ordo Deus», для перехода на эти страницы воспользуйтесь кнопкой контакты вверху страницы или ссылкой в оглавлении сайта.

Вас категорически не устраивает перспектива безвозвратно исчезнуть из этого мира? Вы не желаете закончить свой жизненный путь в виде омерзительной гниющей органической массы пожираемой копошащимися в ней могильными червями? Вы желаете вернувшись в молодость прожить ещё одну жизнь? Начать всё заново? Исправить совершённые ошибки? Осуществить несбывшиеся мечты? Перейдите по ссылке: «главная страница».

© Ordo Deus, 2010. При копировании ссылка на сайт http://www.ordo-deus.ru обязательна.