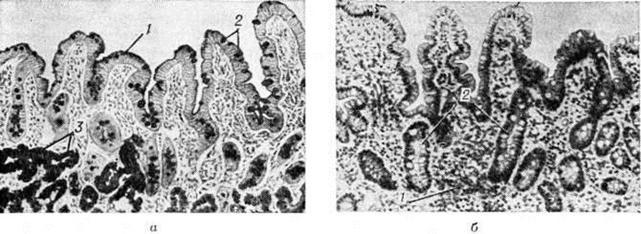
При резко выраженном Дуоденит слизистая оболочка двенадцатиперстной кишки отёчна, складки ее утолщены, расположены беспорядочно, строма слизистой оболочки густо инфильтрирована лимфоидными клетками (рисунок 2). Выявляются дистрофические изменения в кишечном эпителии: цитоплазма клеток слизистой оболочки вакуолизирована (смотри полный свод знаний Вакуолизация), значительно увеличено количество бокаловидных энтероцитов (смотри полный свод знаний Бокаловидные клетки). Усиленная инфильтрация распространяется на глубже лежащие слои. Дуоденальные железы с расширенными просветами сливаются между собой, образуя крупные кисты. Дуоденит с атрофией слизистой оболочки характеризуется сглаженностью рельефа слизистой оболочки за счёт укорочения и расширения кишечных ворсин, уплотнением кишечного эпителия с резким уменьшением числа бокаловидных энтероцитов, увеличением глубоких крипт (рисунок 3). Установлено, что слизистая оболочка луковицы значительно чаще и в большей степени подвергается патологический изменениям (проксимальный Дуоденит), чем дистальные отделы двенадцатиперстной кишки (дистальный Дуоденит). Клиническая картинаПо клинической., течению различают острый и хронический дуоденит. Острый дуоденит в большинстве случаев сочетается с воспалительными заболеваниями слизистой оболочки желудка и тонкой кишки (смотри полный свод знаний: Гастрит, Энтерит, энтероколит); он протекает по типу острой пищевой токсикоинфекции. Больные жалуются на тошноту, рвоту пищевыми массами с примесью желчи, головную боль, слабость, недомогание; характерны склонность к гипотензии и ортостатическому коллапсу (смотри полный свод знаний). При пальпации живота обнаруживается болезненность над пупком справа. При дуоденальном зондировании (смотри полный свод знаний) в кишечном содержимом обнаруживают слизь, слущённый эпителий, а в некоторых, особенно тяжёлых случаях — кровянистые массы. Хронический дуоденит очень редко бывает следствием острого, чаще он развивается первично и характеризуется жалобами больного на постоянные боли в верхней части живота справа на уровне пупка и диспептические явления. Боли усиливаются натощак или спустя 1½—2 часа после приёма пищи, нередко беспокоят больных в ночное время («ночные» боли), иногда наиболее интенсивны во второй половине дня, к вечеру. У некоторых больных наблюдается чувство тяжести, «сосания» в животе, которое усиливается после еды. Наиболее частые диспептические явления — изжога, горечь во рту, отрыжка воздухом или кислым желудочным содержимым, тошнота и рвота. После отрыжки воздухом и рвоты иногда отмечается значительное облегчение. Больные Дуоденит часто страдают запорами (смотри полный свод знаний), их беспокоит головная боль, головокружение, приступы адинамии и усталости (для этих симптомов характерна периодичность появления — через 2—3 часа после приёма пищи). С течением времени больные теряют в весе, кожные покровы приобретают бледную окраску, отмечаются нарушения белкового, витаминного и электролитного обмена (смотри полный свод знаний: Азотистый обмен, Витаминная недостаточность, Водно-солевой обмен). Течение хронический Дуоденит цикличное: фаза обострения сменяется фазой ремиссии. Обострение заболевания обычно длится от 1 до 2 месяцев, чаще наблюдается весной или осенью, хотя и с меньшей закономерностью, чем при язвенной болезни. Диагноз ставят на основании тщательного клин, обследования, включающего исследование секреторной функции желудка, дуоденального содержимого, рентгено л. исследование и особенно дуоденоскопию (смотри полный свод знаний), иногда с прицельной биопсией и последующим морфологически исследованием биопсированного материала. Лечение определяется характером общих и местных анатомо-функциональных нарушений. Больным острым Дуоденит показано промывание желудка слабым р-ром перманганата калия с последующим введением 25—30 грамм сульфата магния, растворенного в стакане воды, постельный режим, голодная диета в течение 1 — 2 дней. При необходимости (при спазмах, болях) назначают атропин, метацин, а также ганглерон, кватерон. Постепенное расширение диеты рекомендуется со вторых-третьих суток. При сопутствующих Дуоденит в первую очередь проводят лечение основного заболевания, при первичных — терапия направлена на сокращение фазы обострения процесса. Лечение может быть проведено амбулаторно, но при выраженной клин, картине показано пребывание в стационаре. В период обострения рекомендуется соблюдение механически и химически щадящей диеты, богатой белками, жирами, витаминами (смотри полный свод знаний: Лечебное питание, столы лечебного питания); медикаментозное лечение — назначение холинолитических (атропин, платифиллин, спазмолитин, арпенал, метацин, фубромеган) и ганглиоблокирующих (ганглерон, кватерон) средств. Ганглерон назначают в виде 1,5% раствора по 2 миллилитров внутримышечно 3 раза в день в течение 2—3 недель; кватерон — по 30—50 миллиграмм в порошках или в виде 0,2% раствора по 1 — 2 столовой ложке 3—4 раза в день в течение 4 недель. Для стимуляции трофических процессов целесообразно назначение белковых гидролизатов и других биостимуляторов (аминопептид, аминокровин) в молодом возрасте —250 миллилитров внутривенно или подкожно капельно 2 раза в неделю в течение 2—3 недель в комбинации с нероболом, ретаболилом. В нетяжёлых случаях можно ограничиться инъекциями алоэ. Рекомендуется назначение парентерально витаминов группы В в комбинации с аскорбиновой кислотой. При выраженной активности секреторного аппарата желудка показано применение антацидных средств короткого и длительного действия (гидрокарбонат натрия, окись магния, гидроокись алюминия, трисиликат магния, алмагель, фосфалугель). Антацидные средства короткого действия целесообразно назначать после еды; алмагель и фосфалугель назначают за 20—30 минут до приёма пищи. Длительность применения антацидных средств 2—3 недель. Больным хронический Дуоденит в фазе ремиссии или спустя 2—3 месяцев после последнего обострения показано курортное лечение с применением внутрь минеральных вод, грязелечение и минеральные ванны. Больные хронический Дуоденит должны находиться под диспансерным наблюдением с периодическим рентгенологическое и эндоскопическим обследованием. Им показано проведение курсов противорецидивного лечения (смотри полный свод знаний Язвенная болезнь). ПрогнозПри адекватном лечении может наступить полное выздоровление, однако нередко Дуоденит принимает хронический рецидивирующий характер. Профилактика—своевременная ликвидация очагов инфекции, соблюдение рационального режима питания, своевременное лечение заболеваний, способствующих развитию Дуоденит Флегмонозный дуоденит (синонимы флегмона двенадцатиперстной кишки)— острое гнойное воспаление стенки двенадцатиперстной кишки. Впервые описано в 1905 год Дейтельмозером (Deutelmoser). Флегмонозный Дуоденит — редкое самостоятельное заболевание, составляет не более 15% всех флегмонозных поражений пищеварительного тракта. Этиология и патогенезФлегмонозный Дуоденит развивается у ослабленных больных со сниженной бактерицидной способностью желудочного сока. Различают первичные (энтерогенные) и вторичные флегмоны двенадцатиперстной кишки. Причиной первых служит микробная флора (стафилококки, стрептококки, кишечная палочка), проникающая через слизистую оболочку двенадцатиперстной кишки. Проникновению возбудителей инфекции способствуют язвы двенадцатиперстной кишки, повреждение слизистой оболочки инородными телами, желчными камнями, паразитами и другие, дивертикулы, рак. Возможно распространение инфекции по лимфатических, путям подслизистого слоя при наличии флегмоны желудка или тощей кишки. Вторичные флегмонозные Дуоденит возникают вследствие гематогенного заноса микробов из гнойного очага: фурункула, карбункула, бронхоэктазов. Вторичные флегмоны могут быть следствием общих инфекционных заболеваний (грипп, скарлатина, корь и другие), нагноения интрамуральной гематомы кишки. Патологическая анатомияФлегмонозный процесс чаще возникает в фиксированной забрюшинной части двенадцатиперстной кишки в области большого сосочка двенадцатиперстной кишки (фатерова соска), начинается в подслизистом слое и распространяется вдоль кишки на глубокие слои кишечной стенки. В процесс рано вовлекаются лимфатических пути. По характеру патологический процесса различают острый и хронический флегмонозный Дуоденит, по распространённости — диффузный и ограниченный; последний может закончиться самоизлечением вследствие прорыва гнойника в просвет кишки. В течении флегмонозного Дуоденит различают инфильтрирующую, абсцедирующую и грануляционно-рубцовую фазу флегмоны (смотри полный свод знаний:). Поражённая кишка ярко-красного или багрового цвета; стенка её на разрезе диффузно пропитана гноем; воспаление сопровождается выраженным лимфаденитом (смотри полный свод знаний:), иногда с абсцедированием. Процесс может завершиться расплавлением стенки кишки, переходом гнойной инфекции на забрюшинное пространство (смотри полный свод знаний) или прорывом гноя в свободную брюшную полость с развитием ограниченного или разлитого перитонита. Клиническая картинаЗаболевание чаще начинается бурно, с явлений непроходимости двенадцатиперстной кишки или перитонита (смотри полный свод знаний). Состояние больных быстро становится тяжёлым. Характерны схваткообразные боли в правой половине живота, сопровождающиеся частой рвотой; в результате отёка большого сосочка двенадцатиперстной кишки рано развивается желтуха (смотри полный свод знаний). Заболевание сопровождается высокой температурой с ознобами, частым пульсом, лейкоцитозом с преобладанием нейтрофильных лейкоцитов и появлением в их протоплазме токсической зернистости. При пальпации живота отмечается умеренное или слабовыраженное напряжение мышц брюшной стенки при резкой болезненности в правом подреберье или эпигастрии. Рано появляется положительный симптом Щеткина—Блюмберга (смотри полный свод знаний Щеткина — Блюмберга симптом). При переходе процесса на забрюшинную клетчатку возникают боли в пояснице и ряд симптомов, характерных для острого панкреатита (смотри полный свод знаний). Флегмонозный Дуоденит осложняется перитонитом, поддиафрагмальным и подпечёночным абсцессами, флегмоной забрюшинной клетчатки, гнойным плевритом (смотри полный свод знаний), медиастинитом (смотри полный свод знаний:), сепсисом (смотри полный свод знаний). В случае ликвидации воспалительных явлений может развиться рубцовая стриктура двенадцатиперстной кишки. Лечение оперативное: после лапаротомии — мобилизация двенадцатиперстной кишки по Кохеру (смотри полный свод знаний Двенадцатиперстная кишка), обкалывание забрюшинной клетчатки раствором антибиотиков, подведение тампонов и дренажей к двенадцатиперстной кишке и в забрюшинное пространство. При наличии перитонита — лечение его по общепринятым принципам. В некоторых случаях для отключения поражённой двенадцатиперстной кишки и раннего кормления накладывают еюностому (смотри полный свод знаний: Энтеростомия). Прогноз, как правило, неблагоприятный. Смотри, полный свод знаний Перидуоденит.
Вас категорически не устраивает перспектива безвозвратно исчезнуть из этого мира? Вы не желаете закончить свой жизненный путь в виде омерзительной гниющей органической массы пожираемой копошащимися в ней могильными червями? Вы желаете вернувшись в молодость прожить ещё одну жизнь? Начать всё заново? Исправить совершённые ошибки? Осуществить несбывшиеся мечты? Перейдите по ссылке: «главная страница».
|