Дисгерминома

Оглавление

  1. Дорога к бессмертию
  2. Бессмертие и религия
  3. Философия бессмертия
  4. Бессмертие и наука
  5. История анабиоза
  6. Смерть
  7. Кора головного мозга
  8. Бессмертие и анабиоз
  9. Анабиоз, медицина и биология
  10. Анабиоз и экономика
  11. Анабиоз и закон
  12. Анабиоз в Антарктиде
  13. Техническое обеспечение анабиоза
  14. Бессмертие и вера
  15. Библиотека Ordo Deus
  16. Контактная страница Ordo Deus

Дисгерминома

Дисгерминома (dysgerminoma; греческий dys + латинское germen, germin[is] росток, зародыш + -oma; синонимы: семинома яичника, гоноцитома, герминома) — редкая злокачественная опухоль яичника. Микроскопическая структура сходна с семиномой яичка (смотри полный свод знаний Семинома). Термин предложен Р. Мейером в 1931 год.

Гистогенез Дисгерминома изучен недостаточно. Возникновение опухоли связывают с задержкой в яичниках недифференцированных половых клеток — гоноцитов. В связи с этим Тайлум (G. Teilum, 1946) предложил называть опухоль гоноцитомой.

Макроскопически Дисгерминома имеет вид плотного округлого узла, иногда инкапсулированного, на разрезе серо-розового цвета, часто с участками некроза и кровоизлияний. Размеры колеблются в значительных пределах. Обычно Дисгерминома бывает односторонней.

Информация об Ordo Deus Перейти в оглавление сайта

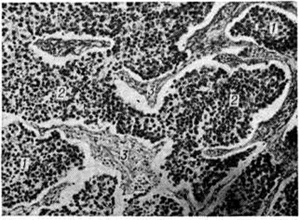
Рис
Микроскопическая картина дисгерминомы яичника: характерны однотипные индифферентные герминогенные клетки, образующие ячейки (1) и поля (2), разделённые соединительнотканными прослойками (3), инфильтрированными лимфоцитами.

Микроскопически Дисгерминома состоит из крупных круглых или полигональных клеток с большими ядрами, содержащих гликоген и образующих ячейки и поля, разграниченные соединительнотканными прослойками, которые обильно инфильтрированы лимфоцитами (рисунок). Иногда видны многоядерные гигантские клетки типа Пирогова — Лангханса. Цитоплазма клеток Дисгерминома содержит щелочную фосфатазу. Опухоль рано метастазирует по лимфатический, и кровеносным сосудам. Морфологически Дисгерминома идентична атипическим тератомам эпифиза мозга (шишковидного тела) и гипоталамуса.

Дисгерминома наблюдается преимущественно у девочек и молодых женщин (в возрасте от 11 до 30 лет), часто на фоне инфантилизма с поздним появлением менструаций или аменореей, при наличии признаков неправильного полового развития (псевдогермафродитизм, синдром Тернера, отсутствие женского полового хроматина), возникает при наличии нормально протекающей беременности. Опухоль нередко сочетается с хорионэпителиомой, гонадобластомой и тератобластомой. Клиническая картина крайне скудна: больные жалуются на ощущение тяжести внизу живота, боли, расстройство деятельности желудочно-кишечного тракта, в редких случаях имеются признаки маскулинизации. Опухоль растёт, как правило, быстро и обнаруживается в первые месяцы болезни. Дисгерминома не отличается гормональной активностью, однако изредка наблюдается увеличение гонадотропинов в моче больных, исчезающее после удаления опухоли.

Лечение — оперативное в сочетании с лучевой или химиотерапией.

Стадия процесса и гистологический строение опухоли не всегда определяют прогноз. Удаление опухоли нередко приводит к полному выздоровлению. Неблагоприятный прогноз имеет место в случаях развития имплантационных, лимфогенных или гематогенных метастазов (смотри полный свод знаний Метастазирование), а также при рецидивах болезни.

Смотри полный свод знаний также Яичники, опухоли.

Серов С.Ф.

⇐ Перейти на главную страницу сайта

⇑ Вернуться в начало страницы ⇑

Библиотека Ordo Deus ⇒

⇐ Дисгенезия гонад

⇓ Полный свод знаний. Том первый А. ⇓

Дисгидроз ⇒

Все статьи в полном изложении, Вы можете найти в большой медицинской энциклопедии — Главный редактор: академик АН СССР (РАН) и АМН СССР (РАМН) Б.В. Петровский. — Москва издательство «Советская энциклопедия» 1989г.

Внимание! Вы находитесь в библиотеке «Ordo Deus». Все книги в электронном варианте, содержащиеся в библиотеке «Ordo Deus», принадлежат их законным владельцам (авторам, переводчикам, издательствам). Все книги и статьи взяты из открытых источников и размещаются здесь только для чтения.

Библиотека «Ordo Deus» не преследует никакой коммерческой выгоды.

Все авторские права сохраняются за правообладателями. Если Вы являетесь автором данного документа и хотите дополнить его или изменить, уточнить реквизиты автора, опубликовать другие документы или возможно вы не желаете, чтобы какой-то из ваших материалов находился в библиотеке, пожалуйста, свяжитесь с нами по e-mail:
info @ ordodeus. ru
Формы для прямой связи с нами находятся в нижней части страниц: контакты и устав «Ordo Deus», для перехода на эти страницы воспользуйтесь кнопкой контакты вверху страницы или ссылкой в оглавлении сайта.

Вас категорически не устраивает перспектива безвозвратно исчезнуть из этого мира? Вы не желаете закончить свой жизненный путь в виде омерзительной гниющей органической массы пожираемой копошащимися в ней могильными червями? Вы желаете вернувшись в молодость прожить ещё одну жизнь? Начать всё заново? Исправить совершённые ошибки? Осуществить несбывшиеся мечты? Перейдите по ссылке: «главная страница».

© Ordo Deus, 2010. При копировании ссылка на сайт http://www.ordo-deus.ru обязательна.