Диктиома

Оглавление

  1. Дорога к бессмертию
  2. Бессмертие и религия
  3. Философия бессмертия
  4. Бессмертие и наука
  5. История анабиоза
  6. Смерть
  7. Кора головного мозга
  8. Бессмертие и анабиоз
  9. Анабиоз, медицина и биология
  10. Анабиоз и экономика
  11. Анабиоз и закон
  12. Анабиоз в Антарктиде
  13. Техническое обеспечение анабиоза
  14. Бессмертие и вера
  15. Библиотека Ordo Deus
  16. Контактная страница Ordo Deus

Диктиома

Диктиома [dictyoma; греческий diktyon сеть + oma; синонимы: диктиоцитома, neuroepithelioma (teratoides) ciliare, диктиома Фукса, медуллоэпителиома] — эмбриональная опухоль, исходящая из беспигментного эпителия недифференцированной части сетчатки, выстилающей реснитчатое тело. Риз (А. В. Reese) в 1957 год описал случай Диктиома с локализацией в области зрительного нерва. Термин «медуллоэпителиома» указывает на происхождение её из нейроэктодермы первичного оптического пузыря. Опухоль встречается чрезвычайно редко. Диктиома занимает промежуточное положение между доброкачественной и злокачественной опухолью, относится к опухолям с местнодеструирующим ростом.



Информация об Ordo Deus Перейти в оглавление сайта

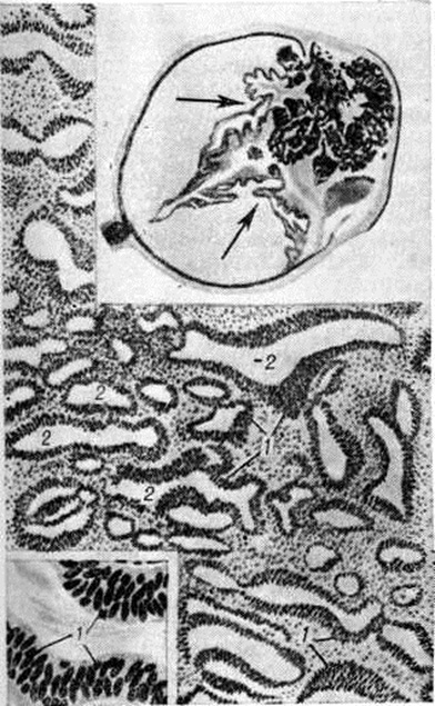
Рис
Микроскопическая картина диктиомы: призматические клетки (1) формируют тяжи лентовидной формы, создающие вид ажурной ткани (2). Вверху справа гистотопографический срез глазного яблока с диктиомой (указана стрелками). Внизу слева — фрагмент опухоли при большем увеличении.




Опухоль не имеет определённой формы и представляет собой белую беспигментную массу, исходящую из плоской части реснитчатого тела. Гистологический картина напоминает строение эмбриональной сетчатки. Опухоль состоит из кубических или призматических клеток, расположенных в один или несколько рядов. Клетки формируют тяжи лентовидной формы, причудливо переплетающиеся между собой, создающие вид ажурной ткани (рисунок). У основания тяжей имеется тонкая мембрана, между складками их — нежная волокнистая ткань, встречаются митозы. Иногда в опухоли встречаются островки гиалинового хряща, что послужило основанием для некоторых авторов трактовать её как тератоневрому. В большинстве описанных случаев метастазов при Диктиома не наблюдалось.

Опухоль чаще всего встречается у детей в возрасте от 1 до 9 лет, но описаны случаи, наблюдаемые в более позднем возрасте — от 11 до 28 лет. Диктиома проникает в переднюю и заднюю камеру глаза, блокирует фильтрационный аппарат, вызывает повышение внутриглазного давления. В запущенных случаях может заполнить всю массу глазного яблока, приводя к увеличению его размеров. Клин, картина при этом напоминает буфтальм (смотри полный свод знаний Гидрофтальм). Нередко развивается стафилома склеры в переднем отделе глазного яблока (смотри полный свод знаний Стафилома), а в дальнейшем опухоль прорастает склеру и выходит под конъюнктиву.

Клин, диагноз чрезвычайно труден. Чаще всего Диктиома представляет собой патологоанатомическую находку. Её обнаруживают в глазах, удалённых по поводу буфтальма на почве высокого внутриглазного давления. В отличие от ретинобластомы (смотри полный свод знаний), опухоль не бывает двусторонней, не передаётся по наследству.

Лечение — энуклеация глазного яблока (смотри полный свод знаний Энуклеация глаза), а при наличии признаков прорастания опухоли через склеру — экзентерация глазницы (смотри полный свод знаний). Лучевая терапия при Диктиома не эффективна.

Прогноз для жизни, как правило, благоприятный, хотя описаны случаи гибели больных в связи с прорастанием опухоли в мозг. Нередки случаи рецидива опухоли в орбите, поскольку её удаляют, как правило, в запущенной стадии.

Стенько З.Л.

⇐ Перейти на главную страницу сайта

⇑ Вернуться в начало страницы ⇑

Библиотека Ordo Deus ⇒

⇐ Дикроцелиоз

⇓ Полный свод знаний. Том первый А. ⇓

Диоктофимоз ⇒

Все статьи в полном изложении, Вы можете найти в большой медицинской энциклопедии — Главный редактор: академик АН СССР (РАН) и АМН СССР (РАМН) Б.В. Петровский. — Москва издательство «Советская энциклопедия» 1989г.

Внимание! Вы находитесь в библиотеке «Ordo Deus». Все книги в электронном варианте, содержащиеся в библиотеке «Ordo Deus», принадлежат их законным владельцам (авторам, переводчикам, издательствам). Все книги и статьи взяты из открытых источников и размещаются здесь только для чтения.

Библиотека «Ordo Deus» не преследует никакой коммерческой выгоды.

Все авторские права сохраняются за правообладателями. Если Вы являетесь автором данного документа и хотите дополнить его или изменить, уточнить реквизиты автора, опубликовать другие документы или возможно вы не желаете, чтобы какой-то из ваших материалов находился в библиотеке, пожалуйста, свяжитесь с нами по e-mail:
info @ ordodeus. ru
Формы для прямой связи с нами находятся в нижней части страниц: контакты и устав «Ordo Deus», для перехода на эти страницы воспользуйтесь кнопкой контакты вверху страницы или ссылкой в оглавлении сайта.

Вас категорически не устраивает перспектива безвозвратно исчезнуть из этого мира? Вы не желаете закончить свой жизненный путь в виде омерзительной гниющей органической массы пожираемой копошащимися в ней могильными червями? Вы желаете вернувшись в молодость прожить ещё одну жизнь? Начать всё заново? Исправить совершённые ошибки? Осуществить несбывшиеся мечты? Перейдите по ссылке: «главная страница».

© Ordo Deus, 2010. При копировании ссылка на сайт http://www.ordo-deus.ru обязательна.