Десмоид

Оглавление

  1. Дорога к бессмертию
  2. Бессмертие и религия
  3. Философия бессмертия
  4. Бессмертие и наука
  5. История анабиоза
  6. Смерть
  7. Кора головного мозга
  8. Бессмертие и анабиоз
  9. Анабиоз, медицина и биология
  10. Анабиоз и экономика
  11. Анабиоз и закон
  12. Анабиоз в Антарктиде
  13. Техническое обеспечение анабиоза
  14. Бессмертие и вера
  15. Библиотека Ordo Deus
  16. Контактная страница Ordo Deus

Десмоид

Десмоид (греческий desmos связь, связка + eidos вид; синонимы: десмоидная фиброма, десмоидная опухоль, фибросаркома, мышечно-апоневротический фиброматоз) — соединительнотканное новообразование из группы фиброматозов; относится к процессам, пограничным с опухолевыми. Термин был предложен Макфарленом (J. Macfarlane) в 1832 год и применяется в отношении опухолей, исходящих преимущественно из сухожильного влагалища прямой мышцы живота, иногда из фасциального аппарата мышц спины, грудной клетки, а также верхних и нижних конечностей.

Причина возникновения Десмоид остаётся невыясненной, хотя признанным этиологического моментом является травма.

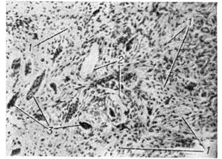
Макроскопически Десмоид представляет собой очень плотный, обычно одиночный узел, на разрезе волокнистого вида, серовато-жёлтого цвета, нерезко отграниченный от окружающих тканей. При микроскопии (рисунок) узел состоит из переплетающихся пучков коллагеновых волокон, не имеющих определённой ориентации, и зрелых фибробластов и фиброцитов. Митозы крайне редки. В периферических отделах Десмоид иногда обнаруживается инфильтрация окружающих тканей элементами новообразования. В зависимости от количества клеток и склонности их к пролиферации выделяют фиброматозный и саркоматозный типы Десмоид Последний близок к фибросаркоме (смотри полный свод знаний), от которой трудно его отличить. В Десмоид возможны очаги ослизнения. Такие опухоли обладают более выраженными инвазивными свойствами и в редких случаях могут давать метастазы.

Различают абдоминальные и экстраабдоминальные Десмоид. Они встречаются редко, составляя 0,03—0,16% от числа всех новообразований. Десмоид может возникать в любом возрасте, но чаще в 25—35 лет, особенно у рожавших женщин. Растёт Десмоид медленно, не вызывая обычно каких-либо болезненных симптомов, хотя иногда все-таки сопровождается болями. В запущенных случаях может прорастать кожу и изъязвляться, прорастать через брюшную стенку в органы брюшной полости, вызывать атрофию мышц, а при экстраабдоминальном расположении — врастать в крупные кровеносные сосуды, нервы и кости.



Информация об Ordo Deus Перейти в оглавление сайта

Рис
Микроскопическая картина десмоидной фибромы: выражены переплетающиеся соединительнотканные волокна (1), мелкие сосуды (2), фибробласты (3).



Диагноз основывается на совокупности клин, и морфологически данных. Единственным методом лечения Десмоид является их широкое иссечение в пределах фасциально-мышечного футляра поражённой мышцы. Прогноз заболевания не всегда благоприятный, так как возможна малигнизация. Часты рецидивы.

Смотри полный свод знаний также Фиброма, фиброматоз.

Трапезников Н.Н.

⇐ Перейти на главную страницу сайта

⇑ Вернуться в начало страницы ⇑

Библиотека Ordo Deus ⇒

⇐ Десмогенез несовершенный

⇓ Полный свод знаний. Том первый А. ⇓

Де Тони—Дебре—Фанкони синдром ⇒

Все статьи в полном изложении, Вы можете найти в большой медицинской энциклопедии — Главный редактор: академик АН СССР (РАН) и АМН СССР (РАМН) Б.В. Петровский. — Москва издательство «Советская энциклопедия» 1989г.

Внимание! Вы находитесь в библиотеке «Ordo Deus». Все книги в электронном варианте, содержащиеся в библиотеке «Ordo Deus», принадлежат их законным владельцам (авторам, переводчикам, издательствам). Все книги и статьи взяты из открытых источников и размещаются здесь только для чтения.

Библиотека «Ordo Deus» не преследует никакой коммерческой выгоды.

Все авторские права сохраняются за правообладателями. Если Вы являетесь автором данного документа и хотите дополнить его или изменить, уточнить реквизиты автора, опубликовать другие документы или возможно вы не желаете, чтобы какой-то из ваших материалов находился в библиотеке, пожалуйста, свяжитесь с нами по e-mail:
info @ ordodeus. ru
Формы для прямой связи с нами находятся в нижней части страниц: контакты и устав «Ordo Deus», для перехода на эти страницы воспользуйтесь кнопкой контакты вверху страницы или ссылкой в оглавлении сайта.

Вас категорически не устраивает перспектива безвозвратно исчезнуть из этого мира? Вы не желаете закончить свой жизненный путь в виде омерзительной гниющей органической массы пожираемой копошащимися в ней могильными червями? Вы желаете вернувшись в молодость прожить ещё одну жизнь? Начать всё заново? Исправить совершённые ошибки? Осуществить несбывшиеся мечты? Перейдите по ссылке: «главная страница».

© Ordo Deus, 2010. При копировании ссылка на сайт http://www.ordo-deus.ru обязательна.