Дерматофиброма

Оглавление

  1. Дорога к бессмертию
  2. Бессмертие и религия
  3. Философия бессмертия
  4. Бессмертие и наука
  5. История анабиоза
  6. Смерть
  7. Кора головного мозга
  8. Бессмертие и анабиоз
  9. Анабиоз, медицина и биология
  10. Анабиоз и экономика
  11. Анабиоз и закон
  12. Анабиоз в Антарктиде
  13. Техническое обеспечение анабиоза
  14. Бессмертие и вера
  15. Библиотека Ordo Deus
  16. Контактная страница Ordo Deus

Дерматофиброма

Дерматофиброма (dermatofibroma; греческий derma, dermat [os] кожа + фиброма, синонимы фиброма кожи плотная) — доброкачественная соединительнотканная опухоль кожи. Впервые Дерматофиброма описал П. Унна в 1894 год как простую фиброму, затем Е. С. Главче в 1902 год, а в 1911 год — Арнинг и Левандовский (Е. Arning, F. Lewandowsky), которые назвали её кожным узлом, причисляя к неопухолевым образованиям.

Опухолевые узлы на разрезе бледно-розового цвета, иногда с желтоватым или буроватым оттенком.

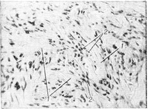
Микроскопически опухоль состоит из переплетающихся коллагеновых волокон (рисунок), обычно расположенных в виде так называемый муаровых структур. Между волокнами обнаруживаются веретенообразные клетки типа фибробластов, иногда с наличием гистиоцитарных элементов или пенистых клеток, содержащих двоякопреломляющие липиды. Встречаются сосуды капиллярного типа. Эластические волокна в опухоли, как правило, отсутствуют, нередко отмечается гиалиноз, иногда резко выраженный. Дерматофиброма нечётко отграничена от дермы, эпидермис над ней часто с признаками акантоза (смотри полный свод знаний) и гиперкератоза (смотри полный свод знаний).

В вопросе о происхождении и характере Дерматофиброма единого мнения нет. Представления о том, что Дерматофиброма являются подкожными келоидами или фиброзированными саркоидами, имеют лишь исторический интерес. Многочисленными исследованиями не подтверждается роль травмы и местного воспалительного процесса в возникновении Дерматофиброма Ниеми (К. М. Niemi, 1973) рассматривает Дерматофиброма как разновидность фиброгистиоцитарных опухолей, включая в эту группу помимо Дерматофиброма и гистиоцитому (смотри полный свод знаний). Гистогенетически Дерматофиброма связывают с перикапиллярной мезенхимой, способной дифференцироваться в сторону фибробластических элементов.



Информация об Ordo Deus Перейти в оглавление сайта

Рис
Микроскопическое строение дерматофибромы: выражены переплетающиеся коллагеновые волокна (1), между которыми расположены веретенообразные клетки (2).



Ж. Дарье в 1930 год причислил к группе Дерматофиброма так называемый фиброзные пятна Левандовского — множественные плотные, слегка возвышающиеся над кожей узелки, собранные в симметричные группы. К Дерматофиброма относят иногда полифиброматоз Турена — своеобразный симптомокомплекс врождённого характера, проявляющийся множественными различной величины и формы уплотнениями в коже, имеющими строение воспалительных инфильтратов, подвергшихся фиброзу.

Правомерность отнесения фиброзных родимых пятен и полифиброматоза к Дерматофиброма разделяется не всеми.

Дерматофиброма располагаются повсеместно, но чаще на нижних конечностях, особенно на голени. Обычно они солитарны, хотя могут быть множественными. Чаще обнаруживаются у женщин, встречаются в любом возрасте, представляют собой небольшие безболезненные очаги уплотнения или узлы в дерме. Кожа в области Дерматофиброма обычно не изменена или слегка пигментирована.

Дерматофиброма растут чрезвычайно медленно.

Дифференциальный диагноз Дерматофиброма с другими опухолями кожи основывается на результатах микроскопического исследования.

Лечение — оперативное. Прогноз благоприятный.

Апатенко А.К.

⇐ Перейти на главную страницу сайта

⇑ Вернуться в начало страницы ⇑

Библиотека Ordo Deus ⇒

⇐ Дерматофиброз лентикуляный диссеминированный

⇓ Полный свод знаний. Том первый А. ⇓

Дерматофибросаркома выбухающая ⇒

Все статьи в полном изложении, Вы можете найти в большой медицинской энциклопедии — Главный редактор: академик АН СССР (РАН) и АМН СССР (РАМН) Б.В. Петровский. — Москва издательство «Советская энциклопедия» 1989г.

Внимание! Вы находитесь в библиотеке «Ordo Deus». Все книги в электронном варианте, содержащиеся в библиотеке «Ordo Deus», принадлежат их законным владельцам (авторам, переводчикам, издательствам). Все книги и статьи взяты из открытых источников и размещаются здесь только для чтения.

Библиотека «Ordo Deus» не преследует никакой коммерческой выгоды.

Все авторские права сохраняются за правообладателями. Если Вы являетесь автором данного документа и хотите дополнить его или изменить, уточнить реквизиты автора, опубликовать другие документы или возможно вы не желаете, чтобы какой-то из ваших материалов находился в библиотеке, пожалуйста, свяжитесь с нами по e-mail:
info @ ordodeus. ru
Формы для прямой связи с нами находятся в нижней части страниц: контакты и устав «Ordo Deus», для перехода на эти страницы воспользуйтесь кнопкой контакты вверху страницы или ссылкой в оглавлении сайта.

Вас категорически не устраивает перспектива безвозвратно исчезнуть из этого мира? Вы не желаете закончить свой жизненный путь в виде омерзительной гниющей органической массы пожираемой копошащимися в ней могильными червями? Вы желаете вернувшись в молодость прожить ещё одну жизнь? Начать всё заново? Исправить совершённые ошибки? Осуществить несбывшиеся мечты? Перейдите по ссылке: «главная страница».

© Ordo Deus, 2010. При копировании ссылка на сайт http://www.ordo-deus.ru обязательна.