Оглавление
-
Дорога к бессмертию
-
Бессмертие и религия
-
Философия бессмертия
-
Бессмертие и наука
-
История анабиоза
-
Смерть
-
Кора головного мозга
-
Бессмертие и анабиоз
-
Анабиоз, медицина и биология
-
Анабиоз и экономика
-
Анабиоз и закон
-
Анабиоз в Антарктиде
-
Техническое обеспечение анабиоза
-
Бессмертие и вера
-
Библиотека Ordo Deus
-
Контактная страница Ordo Deus
|
Бурое уплотнение лёгких
Бурое уплотнение лёгких (induratio fusca pulmonum; синонимы бурая индурация лёгких) — диффузное разрастание соединительнотканной стромы лёгких с отложением гемоглобиногенных пигментов гемосидерина и ферритина. Различают Бурое уплотнение лёгких как проявление ряда заболеваний, сопровождающихся длительным венозным застоем в лёгких, и идиопатическую бурую индурацию легких (смотри Гемосидероз лёгких идиопатический).
Наиболее часто Бурое уплотнение лёгких встречается при заболеваниях сердца — ревматическом митральном пороке, гипертоническом или атеросклеротическом кардиосклерозе, фидлеровском миокардите (смотри). Развитие Бурое уплотнение лёгких при этих заболеваниях связано с нарушениями гемодинамики и гипоксией в малом круге кровообращения, что ведёт к повышению сосудистой проницаемости, диапедезным геморрагиям, отложению плазменных белков и гемоглобиногенных пигментов, активации тропоколлагеновой активности фибробластов и склерозу лёгких. Происходящие при этом изменения структуры кровеносных сосудов лёгких, завершающие процессы их адаптации к гипертензии малого круга, усугубляют тканевую гипоксию и усиливают в этих сосудах фибробластические реакции. Повышение сосудистой проницаемости и множественные диапедезные геморрагии обусловливают появление в лёгочных альвеолах, межальвеолярных перегородках, лимф, сосудах и узлах лёгких скоплений макрофагов, нагруженных гемосидерином. Синтез гемосидерина, в основе которого лежит полимеризация ферритина (смотри), происходит в клетках альвеолярного эпителия и гистиоцитах; этот процесс изучен с помощью электронного микроскопа. В начальных стадиях в цитоплазме макрофага (который правильнее называть сидеробластом) находят много первичных лизосом, содержащих скопления молекул ферритина; на поздних стадиях — большое количество сидеросом и мало других внутриклеточных структур. При распаде сидеробласта гемосидерин и ферритин фагоцитируются сидерофагами (рисунок 1). Крупномолекулярный гемосидерин и железопротеид-ферритин накапливаются в строме, лимф, сосудах и узлах лёгких, способствуя нарастанию гипоксии и синтетической активности фибробластов. Ферритин, образующийся при Бурое уплотнение лёгких, восстанавливается в SH-ферритин, который, будучи антагонистом адреналина и симпатина, способен поддерживать паретическое состояние микроциркуляторного русла лёгких, что ведёт к нарастанию гипоксии, усилению диапедеза эритроцитов, повышенному образованию гемосидерина и восстановлению SH-ферритина. Возникает своеобразный порочный круг прогрессирования гемосидероза лёгких, которые становятся «шоковым органом». Учитывая антигенную природу белковой части ферритина, нельзя исключить роль иммунологических реакций в прогрессировании Бурое уплотнение лёгких. Гемосидероз легких больше выражен в нижне-задних отделах и имеет каудо-апикальное распространение. Он зависит от степени и длительности гипертензии малого круга и венозного застоя.
Уплотнение лёгких обусловлено разрастанием в них соединительной ткани. До последнего времени склероз лёгких при буром уплотнении рассматривался как бесклеточный, развивающийся в результате коллагенизации аргирофильного каркаса лёгкого. В наст, время электронномикроскопическими исследованиями доказано, что склероз при Бурое уплотнение лёгких связан с деятельностью фибробластов. В периэндотелиальных пространствах обнаруживается большое количество фибробластов с выраженной гиперплазией гранулярного эндоплазматического ретикулума. Около их тел и длинных отростков по ходу субэпителиальной базальной хмембраны располагаются коллагеновые волокна, которые видны и в просвете альвеол на поверхности клеток эпителия (рисунок 2). Основным фактором, вызывающим активацию и пролиферацию фибробластов, является гипоксия. Поэтому, видимо, пролиферация фибробластов и склероз резче выражены в нижне-задних отделах лёгких, где венозный застой сильнее и скоплений гемосидерина, ферритина и фибрина больше.
Пневмосклероз, как и гемосидероз, при Бурое уплотнение лёгких имеет каудоапикальное распространение и зависит от степени и длительности венозного застоя в легких.
В связи с хронический венозным застоем при Бурое уплотнение лёгких возникает структурная перестройка сосудистой системы лёгких. Изменения кровеносных сосудов связаны прежде всего с адаптивными процессами в ответ на гипертензию малого круга кровообращения. Вначале они представлены разрастанием капиллярной сети лёгких, затем гипертрофией и гиперплазией мышечно-эластических структур мелких ветвей лёгочной артерии с перестройкой этих сосудов по типу замыкающих артерий (рисунок 3).
|
Со временем адаптивные изменения кровеносных сосудов завершаются склеротическими и их трудно отличить от сегментарных склерозов, характерных для ревматизма. В лимфатических, системе лёгких (в начальных стадиях Бурое уплотнение лёгких) возникает лимфогипертензия, проявлением которой являются гиперэластоз стенок лимфатических сосудов и лимфангиэктазии.
В дальнейшем развивается застой лимфы, функциональная недостаточность лимф, системы лёгких, сменяющаяся резорбционной, а затем и механической недостаточностью. В результате застоя лимфы по ходу склерозированных сосудов образуются лимф, фолликулы. Склероз кровеносных сосудов и недостаточность лимфатических, системы усиливают лёгочную гипоксию и становятся причиной активации фибробластов и склероза лёгких.
Значительные изменения возникают при Бурое уплотнение лёгких и в бронхиальном дереве. Наблюдаемая гипертрофия гладкой мускулатуры альвеолярных ходов и респираторных бронхиол, которая имеет приспособительный характер, способствуя более длительной задержке воздуха в альвеолах, сменяется дистрофией и склерозом гладкой мускулатуры бронхов, что ведёт к снижению их тонуса. В этих условиях венозный застой и перибронхиальный склероз определяют развитие слизистого катара бронхов.
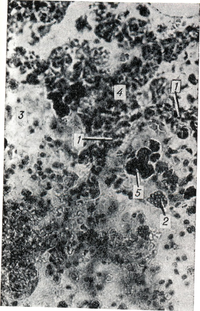
Бурое уплотнение лёгких не удаётся обнаружить физическими методами врачебного исследования, но оно имеет определённые рентгенологические признаки (смотри Легкие, рентгенодиагностика). Обнаружение так наз. клеток сердечных пороков, или сидерофагов (рисунок 4), в мокроте больных при возникновении значительных застойных явлений в лёгких и вторичной лёгочной гипертензии (смотри) вызывает предположение о наличии бурого уплотнения лёгких; это чаще всего свойственно стенозу левого атриовентрикулярного отверстия сердца.
Однако обнаружение «клеток сердечных пороков» в мокроте имеет меньшую диагностическую ценность, чем прежде. Это связано с тем, что, во-первых, современные методы функциональных исследований сердца и центральной гемодинамики обеспечивают гораздо более точную, включая и количественные показатели, диагностическую информацию, и, во-вторых, с тем, что сидерофаги в мокроте являются лишь свидетельством патологического процесса в лёгких, который может быть и при Бурое уплотнение лёгких, но не патогномоничен для него.
С клинической точки зрения важно, что значительно выраженное бурое уплотнение лёгких всегда является морфологическим следствием продолжительного периода вторичной лёгочной гипертензии. Вторичная лёгочная гипертензия характеризуется определённой симптоматикой (кровохарканье, гипертрофия правого сердца, развитие отёка и инфаркта лёгкого) и значительно осложняет течение основного заболевания. Бурое уплотнение лёгких, как правило, совпадает с переходом вторичной лёгочной гипертензии в необратимое состояние. Это состояние является противопоказанием для осуществления корригирующих операций на сердце. Необратимость лёгочной артериальной гипертензии лишает эти операции ожидаемой гемодинамической эффективности.
Практически необходимо учитывать, что чем продолжительнее у больного, например с пороками сердца, период клинических проявлений вторичной лёгочной гипертензии, в том числе одышки, чем ниже показатели лёгочного газообмена, ёмкости лёгких и проходимости бронхов, тем с большей вероятностью можно предположить у больного наличие бурого уплотнения лёгких, то есть трудно обратимых структурных изменений со стороны дыхательной и сосудистой систем лёгких. Развитие бурого уплотнения лёгких является неблагоприятным признаком, осложняющим течение, лечение и прогноз основного заболевания.
|
Все статьи в полном изложении, Вы можете найти в большой медицинской энциклопедии — Главный редактор: академик АН СССР (РАН) и АМН СССР (РАМН) Б.В. Петровский. — Москва издательство «Советская энциклопедия» 1989г.
|
|
Внимание! Вы находитесь в библиотеке «Ordo Deus». Все книги в электронном варианте, содержащиеся в библиотеке «Ordo Deus», принадлежат их законным владельцам (авторам, переводчикам, издательствам). Все книги и статьи взяты из открытых источников и размещаются здесь только для чтения.
|
|
Библиотека «Ordo Deus» не преследует никакой коммерческой выгоды.
|
|
Все авторские права сохраняются за правообладателями. Если Вы являетесь автором данного документа и хотите дополнить его или изменить, уточнить реквизиты автора, опубликовать другие документы или возможно вы не желаете, чтобы какой-то из ваших материалов находился в библиотеке, пожалуйста, свяжитесь с нами по e-mail: info @ ordodeus. ru Формы для прямой связи с нами находятся в нижней части страниц: контакты и устав «Ordo Deus», для перехода на эти страницы воспользуйтесь кнопкой контакты вверху страницы или ссылкой в оглавлении сайта.
|
Вас категорически не устраивает перспектива безвозвратно исчезнуть из этого мира? Вы не желаете закончить свой жизненный путь в виде омерзительной гниющей органической массы пожираемой копошащимися в ней могильными червями? Вы желаете вернувшись в молодость прожить ещё одну жизнь? Начать всё заново? Исправить совершённые ошибки? Осуществить несбывшиеся мечты? Перейдите по ссылке:
«главная страница».
|