Астроцитома

Оглавление

  1. Дорога к бессмертию
  2. Бессмертие и религия
  3. Философия бессмертия
  4. Бессмертие и наука
  5. История анабиоза
  6. Смерть
  7. Кора головного мозга
  8. Бессмертие и анабиоз
  9. Анабиоз, медицина и биология
  10. Анабиоз и экономика
  11. Анабиоз и закон
  12. Анабиоз в Антарктиде
  13. Техническое обеспечение анабиоза
  14. Бессмертие и вера
  15. Библиотека Ordo Deus
  16. Контактная страница Ordo Deus

Астроцитома

Астроцитома (astrocytoma; греческое astron звезда + kytos сосуд, клетка + -ота) — одна из разновидностей глиальных опухолей центральной нервной системы. Встречаются злокачественные и доброкачественные астроцитомы. Макроскопически опухоль представляется в виде участка ткани, отличающейся от мозгового вещества своей плотностью и бледностью или, наоборот, мягкостью, серым или серо-розовым цветом и нередко полупросвечивающим желатинозным видом. В ткани опухоли могут встречаться кисты. Граница опухоли с мозгом обычно нечеткая, местами не различается.



Микроскопически ткань астроцитомы составляют рыхло расположенные опухолевые астроциты звездчатой формы, пересечением отростков образующие сеточку, или астроциты веретенообразных очертаний, с биполярно отходящими отростками, складывающиеся в пучки. По содержанию глиальных волокон опухолевые астроциты, как и нормальные, могут быть фибриллярными и протоплазматическими. Могут встречаться клетки, имеющие сходство с тучными астроцитами или приобретающие черты астробластов. Митозов в доброкачественных астроцитомах обычно не бывает. Встречаются фигуры прямого деления клеток. Строма представлена сетью капилляров, по плотности близкой к ее плотности в ткани мозга. Между опухолевыми клетками могут долго сохраняться неопухолевые астроциты, олигодендроглия, нейроны. Обычны мукоидная дистрофия клеток опухоли, формирование кист. Иногда в фибриллярной астроцитоме встречаются хромофильные обрубкоподобные образования, так называемые розенталевские волокна — продукт конгломерации и гранулярного распада глиофибрилл (рис. 1).

Растет астроцитома инфильтративно или сочетает инфильтративный рост с экспансивным. Инфильтрация может быть результатом не только продвижения опухолевых клеток, но и мультицен-тральности или диффузности бластоматозного превращения астроцитарной глии (диффузная астроцитома). Зона опухолевой инфильтрации обычно шире, чем предполагается на основании неврологических симптомов.

В соответствии с типом преобладающих в опухоли клеточных элементов выделяют (под близкими у разных авторов наименованиями) варианты астроцитом по следующим признакам: 1) по наличию анаплазии — недифференцированную (анапластическую, атипическую, гетеротипическую, злокачественную, малигнизированную) и дифференцированную (типическую, гомотипическую, доброкачественную); 2) по содержанию глиальных волокон — фибриллярную, протоплазматическую (плазматическую), смешанную (фибриллярно-прото-плазматическую, рис. 2); 3) по величине клеток — мелкоклеточную, крупноклеточную (к этой группе относят обычно и астроцитомы из тучных астроцитов — тучноклеточную, рис. 3); 4) по фодме клеток — из звездчатых клеток, веретеноклеточную (с ее подвариантом пилоидной — волосовидной — астроцитомы, рис. 4) и полиморфно-клеточную.

Относительно правомочности специального выделения из группы веретеноклеточных опухолей варианта под названием «полярная спонгиобластома» в литературе нет единого мнения. Уменьшается число сторонников сохранения в номенклатуре термина «астробластома».

Существуют бифракционные опухоли с бластоматозным превращением не только астроцитов, но одновременно и глиальных клеток другого вида (олигоастроцитома, эпендимоастроцитома).

Номенклатура градаций злокачественности астроцитом, созданная в 1926 г. Бейли II Кугаингом (P. Bailey, H. Cushing), выраженная в эмбриогенетических понятиях и терминах, постепенно заменяется другой, основанной на представлении о дедиференцировке, анаплазии клеток, какова схема Кернохена, в которой он трактует и обозначает астробластому, полярную спонгиобластому, мультиформную глиобластому как соответственно астроцитому нулевой, первой, второй и третьей степени злокачественности, и схема Б. С. Хоминского, различающего астроцитому, астроцитому атипическую (дедифференцированную) и глиобластому.



По сводным данным, строцитомы нулевой, первой, второй и третьей степени злокачественности доставляют примерно равные по численности группы. К гистологическим признакам малигнизации относят повышенную плотность расположения и атипию клеток опухоли, пролиферацию клеток эндотелия и адвентиции сосудов, новообразование сосудов, митозы, некрозы, деструирующий рост. Гистологические признаки злокачественности в разных участках опухоли часто выражены неодинаково. Малигнизированные астроцитомы способны метастазировать по ликворным путям. Метастазирование за пределы центральной нервной системы составляет исключительную редкость. Среди клинико-анатомических признаков злокачественности астроцитом скорость роста опухоли стоит на одном из первых мест. Отмечено, что темп роста и склонность к малигнизации протоплазматических, крупноклеточных и полиморфноклеточных астроцитом выше, чем у других вариантов.

Информация об Ordo Deus Перейти в оглавление сайта

Рис. 1.
Фибриллярная астроцитома. Стрелками указаны розенталевские волокна (окраска гематоксилин-эозином; × 400).

Информация об Ordo Deus Перейти в оглавление сайта

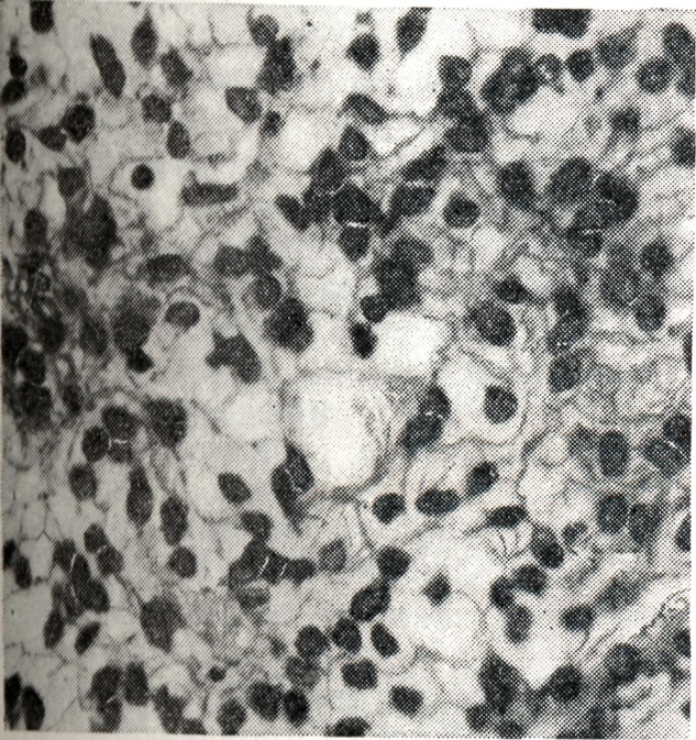
Рис. 2.
Фибриллярно-протоплазматическая астроцитома. Видна типичная связь соседних клеток посредством их отростков (окраска гематоксилин-эозином; ×200).

Астроцитомы среди всех опухолей мозга составляет, по статистикам крупных нейрохирургических учреждений, 17,5 — 20,2%. Среди больных отмечено небольшое преобладание лиц мужского пола (1,2 : 1).

Наблюдаются довольно постоянные варианты взаимосвязи гистологического строения, локализации, топографии, биологических свойств опухоли, возраста больных. Так, астроцитома больших полушарий встречаются преимущественно у лиц молодого возраста и склонны к малигнизации. В коре головного мозга преобладают протоплазматические астроцитомы с узкой зоной инфильтрации окружающей мозговой ткани. В белом веществе — фибриллярные астроцитомы, иногда растущие диффузно. Опухоль часто имеет форму клина, вершина которого начинается у стенки бокового желудочка, а основание достигает коры. При поражении мозолистого тела нередко распространение опухоли на белое вещество полушарий, свод и прозрачную перегородку.

Аастроцитома зрительных нервов, хиазмы, зрительных трактов, гипоталамуса и мозжечка встречается преимущественно у детей и юношей. Преобладают опухоли из пилоидных астроцитов. Растут медленно. Малигнизации наблюдается редко. Астроцитома мозжечка отличаются узостью зоны инфильтративного врастания и нередко наличием большой кисты, более доброкачественным течением.

Астроцитомы мозгового моста диффузны и склонны к малигнизации. Астроцитомы спинного мозга чаще поражают верхние и средние его сегменты.

Клиническая картина зависит от локализации и степени злокачественности астроцитом (подробно клинику смотри Головной мозг, опухоли).

Диагноз ставится на основании общемозговых и очаговых симптомов развития внутримозговой опухоли (смотри Головной мозг, опухоли). До операции обычно ограничиваются предположением о наличии глиомы, соответственно тяжести и динамике симптомов — доброкачественной или злокачественной. Астроцитарная природа глиомы нередко очевидна для нейрохирурга уже во время операции на основании макроскопических данных. Точный диагноз астроцитомы устанавливается гистологическим исследованием.

Информация об Ordo Deus Перейти в оглавление сайта

Рис. 3.
Астроцитома, построенная из «тучных» астроцитов (клетки с крупным цитоплазматическим телом и эксцентрически расположенным ядром. Окраска гематоксилин-эозином; ×400).

Информация об Ordo Deus Перейти в оглавление сайта

Рис. 4.
Пилоидный вариант фибриллярной астроцитомы. Видны пучки из вытянутых клеток с тонкими, волосовидными отростками (окраска гематоксилин-эозином; ×200).

Лечение хирургическое, в случае злокачественной астроцитомы — комбинированное с лучевой и химиотерапией. Поскольку астроцитому в большинстве случаев полностью удалить невозможно, отдаленные результаты хирургического лечения остаются малоудовлетворительными.

Прогноз

Неоперированные больные погибают. На длительность жизни после вмешательства влияют степень злокачественности, локализация и полнота удаления опухоли. У 25% повторно оперированных больных гистологически устанавливается возрастание злокачественности опухоли и развитие радиорезистентности. Смерть от продолжающегося роста опухоли наступает у больных с астроцитомой в среднем через 42 месяца после операции, с дедифференцированной астроцитомой — через 22 месяца. Данные о степени влияния лучевой терапии на эти опухоли противоречивы. Более благоприятны результаты хирургического лечения астроцитомы мозжечка в силу их медленного и преимущественно экспансивного роста.

Архангельский В.В.

⇐ Перейти на главную страницу сайта

⇑ Вернуться в начало страницы ⇑

Библиотека Ordo Deus ⇒

⇐ Астенопия

⇓ Полный свод знаний. Том первый А. ⇓

Асфиксия ⇒

Все статьи в полном изложении, Вы можете найти в большой медицинской энциклопедии — Главный редактор: академик АН СССР (РАН) и АМН СССР (РАМН) Б.В. Петровский. — Москва издательство «Советская энциклопедия» 1989г.

Внимание! Вы находитесь в библиотеке «Ordo Deus». Все книги в электронном варианте, содержащиеся в библиотеке «Ordo Deus», принадлежат их законным владельцам (авторам, переводчикам, издательствам). Все книги и статьи взяты из открытых источников и размещаются здесь только для чтения.

Библиотека «Ordo Deus» не преследует никакой коммерческой выгоды.

Все авторские права сохраняются за правообладателями. Если Вы являетесь автором данного документа и хотите дополнить его или изменить, уточнить реквизиты автора, опубликовать другие документы или возможно вы не желаете, чтобы какой-то из ваших материалов находился в библиотеке, пожалуйста, свяжитесь с нами по e-mail:
info @ ordodeus. ru
Формы для прямой связи с нами находятся в нижней части страниц: контакты и устав «Ordo Deus», для перехода на эти страницы воспользуйтесь кнопкой контакты вверху страницы или ссылкой в оглавлении сайта.

Вас категорически не устраивает перспектива безвозвратно исчезнуть из этого мира? Вы не желаете закончить свой жизненный путь в виде омерзительной гниющей органической массы пожираемой копошащимися в ней могильными червями? Вы желаете вернувшись в молодость прожить ещё одну жизнь? Начать всё заново? Исправить совершённые ошибки? Осуществить несбывшиеся мечты? Перейдите по ссылке: «главная страница».

© Ordo Deus, 2010. При копировании ссылка на сайт http://www.ordo-deus.ru обязательна.